Implantology
Dental Restoration
Dental Labrotary
Single implant,Maxillary sinus bone graft & Improved ISQ value, Arum implant system.

Views : 3,297/ Nov, 20, 2022
A 58-year-old male patient is taking
Baby Aspirin® daily for cardiovascular problems. He also suffered from Behcet's disease. (codeNo. cjkty)
Remarks; saxophonist. ![]()
1. CBCT scan. Before maxillary sinus graft. ![]()
2. CBCT scan. A maxillary sinus bone graft was performed. ![]()
3. Implant placement 4 months after bone graft in the maxillary sinus. ARUM NB1 Ø5/L10mm, 25Ncm. The area was covered with a collagen membrane.
![]()
4. CBCT scan immediately after implant placement. ![]()
5. 10 weeks after implant placement. On the day of the second surgery.
![]()
6. The fixation was exposed using a tissue-punching instrument.
![]()
7. 4.5 months after implant placement. ISQ. I checked the value. The score shows that the fixture is ready to load.
![]()
8. The healing abutment was connected to the fixture.

9. Panoramic radiograph after healing abutment connection. ![]()
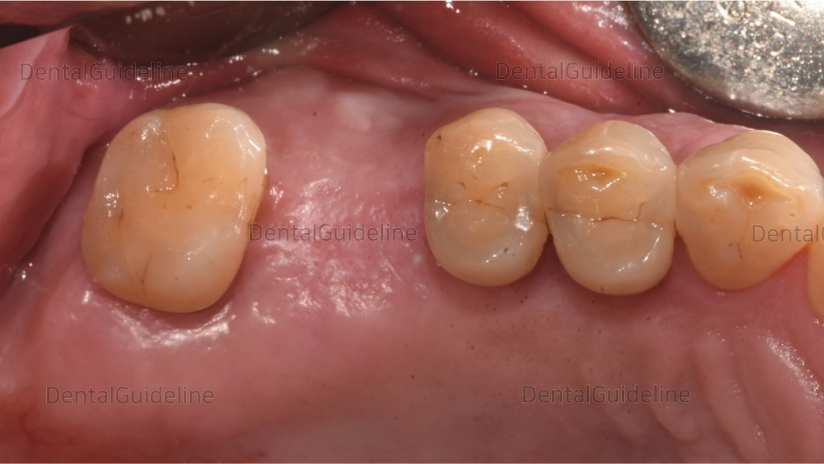
10. After 2 weeks. The gingiva showed a good healing pattern. This is a picture taken right before impression-taking. ![]()
11. Custom abutments and zirconia crowns. ![]()
12. The customized abutment was connected to the fixture with an appropriate torque (40 Ncm). ![]()
13. Implant crown seating. ![]()
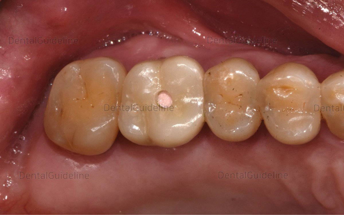
14. Permanent cementation. The access hole was filled with composite resin. 
15. Panoramic radiographs were taken immediately after crown delivery.

16. The screw was loosened through the access hole and the complex of crown and abutment was separated from the implant.![]()
17. 9 weeks after the last ISQ check. The implant crown was unscrewed and removed, and the ISQ was checked again. Better results than 9 weeks ago (ISQ values 79, 85). This represents a 9.8% improvement in ISQ values in 9 weeks.

18. The same day CBCT scan.
- PrevBig-sized cyst in the right maxilla. Piezo (ultrasonic) surgical machine.Nov, 20, 2022
- NextProsthetic treatment for space closure in the lower incisors. Nov, 20, 2022
There are no registered comment.