Implantology
Dental Restoration
Dental Labrotary
Bilateral implant in the osteoporosis pt. Intra-bony and additional GBR.

Views : 3,513/ Dec, 06, 2022
This is
the case more than 10 years ago.
66-year-old female, Cleft
Lip & Palate, Osteoporosis ; stop taking BSP, 2months before surgery.
<Jlon>![]()
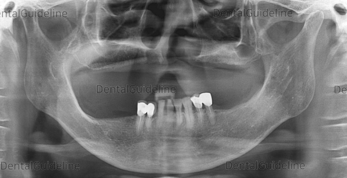
Pt. was wearing dentures (Mx-full denture, Md-partial denture). Pre-op panoramic radiograph.![]()
photo on the day of implant surgery.![]()
The
flap was opened and two implants were placed. Finally, it was decided on a
3-unit implant-supported fixed partial denture.![]()
suture.
A panoramic radiograph after implant surgery.![]()
CBCT
after 1 month of implant surgery.![]()
CBCT after 1 month of implant
surgery. The lateral alveolar bone of the implant is thin.
![]()
1 month after the implant surgery
in the right mandible. Intraoral photo after anesthesia on the day of implant
surgery in the left mandible.
![]()
After drilling, only the cortical bone had
resistance, and the inside was in a type 4 bone condition as if the bone was
empty. (FDBA)
![]()
After minimal drilling, the implant is
inserted into the bone and compacted.
![]()
The inside was too empty, so I filled it
up by compacting the grafted bone in various directions using a parallel pin
in the Ankylos surgical kit.

parallel pin.![]()
![]()
Ankylos Ø3.5/9mm, 5~10Ncm.
![]()
![]()
![]()
intra-bony GBR.![]()
implant placement.![]()
![]()
suture
panoramic radiograph.![]()
I
had a longer wait than usual. This photo is 6 months after implantation. photo before 2nd surgery.![]()
![]()
As expected from CBCT, the
remaining alveolar bone on the outside was thin.

![]()
An additional GBR was
performed. (xenograft-even after years, the grafted bone has the lowest resorption.)
![]()
For the sutured area, collatape® is
used for quick healing of the soft tissue.
![]()
Suture.![]()
8 days after 2nd surgery.![]()
lab work.
screw hole sealing![]()
Porcelain Fused to Metal crown.![]()
Left side, 2nd surgery.
To create the desired gingival shape, find a healing abutment of an appropriate size and re-connect it.![]()
Lab work.
Porcelain Fused to Metal crown.
- Prev7-year follow-up, Immediate placement & GBR, Open membrane method,Dec, 06, 2022
- Next3 implants in the Mandible, Arum implant. Dec, 06, 2022
There are no registered comment.