Implantology
Dental Restoration
Dental Labrotary
Implant Supported Denture ( implant overdenture )

HAPPYTOGETHER
Views : 2,968/ Nov, 10, 2022
Views : 2,968/ Nov, 10, 2022
implant overdenture. <Jkjj>

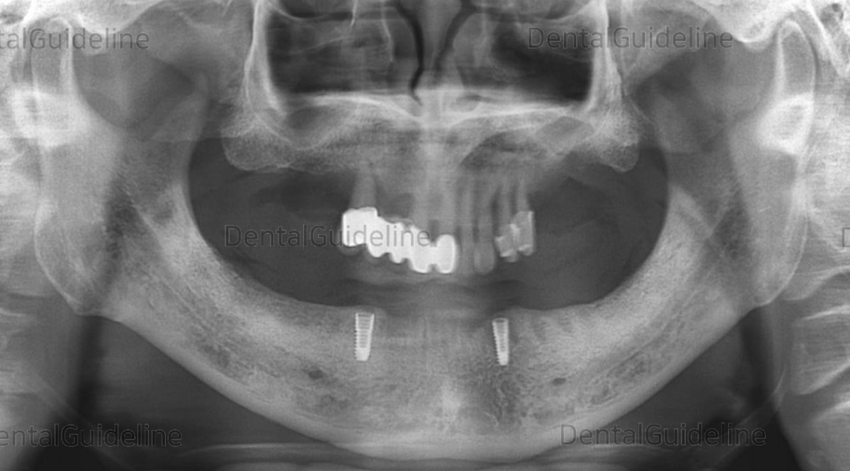
Edentulous mandible

Dentures were manufactured for edentulous patients, then it was replicated for implant surgical guide.

2 implants were placed using the surgical guide.

sutured

2 weeks after implant uncovery

To secure the locator's space, the denture's inner side was removed by grinding.

escape hole

The LOCATOR abutment was rightened according to the connection manual. the diameter of the implant was ф3.5mm

rubber ring for blocking out

My preference is DURALAY®

other pattern resin is also good.

Wait until the DURALAY pattern resin hardens. (Hold the patient in the biting position)


trim the escaped resin

Remove the black nylon male

various retentive nylon males.


insert a retentive nylon into the place where the black nylon cap was removed.


Edentulous mandible
Dentures were manufactured for edentulous patients, then it was replicated for implant surgical guide.
2 implants were placed using the surgical guide.
sutured
2 weeks after implant uncovery

To secure the locator's space, the denture's inner side was removed by grinding.

escape hole

The LOCATOR abutment was rightened according to the connection manual. the diameter of the implant was ф3.5mm
rubber ring for blocking out
My preference is DURALAY®

other pattern resin is also good.
Wait until the DURALAY pattern resin hardens. (Hold the patient in the biting position)
trim the escaped resin
Remove the black nylon male
various retentive nylon males.
insert a retentive nylon into the place where the black nylon cap was removed.
0
- PrevImplant Overdenture (Maxilla), surgical guideNov, 10, 2022
- NextSingle Implant Flapless Surgery (Arum NB1 implant) Nov, 10, 2022
There are no registered comment.