Implantology
Orthodontics
Maxillary sinus graft, Tooth uprighting for space regaining (MTM)

Views : 2,041/ Nov, 17, 2022
This patient was a dental hygienist in my clinic. (code-CJmmj)
![]()
1. The missing 1st molar space should be regained for the
implant-supported crown.
2. A cyst-like appearance in the maxillary sinus was observed on CT.
![]()
3. For the laterally approached maxillary sinus graft, the
lateral window was opened using a Pizo piezo surgical equipment
(SURGYBONE®, SIILFRADENAT Co,)

4. AIO(All-In-One) sinus curette was used.
5. The maxillary sinus membrane was sufficiently raised.
![]()
6. To protect the roof of the maxillary sinus membrane, an
absorbable collagen membrane is placed under the raised sinus membrane.
![]()
7. By placing the collagen membrane in this way, the problem
caused by the perforation of the maxillary sinus membrane that might not have
been noticed can also be solved.
![]()
8. Filling with graft material.![]()
9. Graft material. (FDBA+Xenogragt)
10. Absorbable collagen membrane was placed.
![]()
11. suture.
![]()
12. .CBCT after the graft.
13. Photo 2 months later.![]()
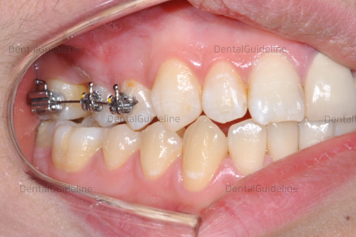
14. The bracket was bonded and the segment wire was ligatured.
15. 50 days after orthodontic treatment. (coated Ni-Ti open coil spring)
![]()
16. 85 days after orthodontic treatment
17. The implant was placed in a conventional manner. (HIOSSEN CO. TSⅢ 4.5*11.5mm)

18. Panoramic radiograph
right after implant placement
19. 6 months of implant placement. tissue punching instrument was used to expose the fixture.
![]()
20. HA was connected by extending the gingiva from a small size
to an appropriate size.

21. Impression taking.

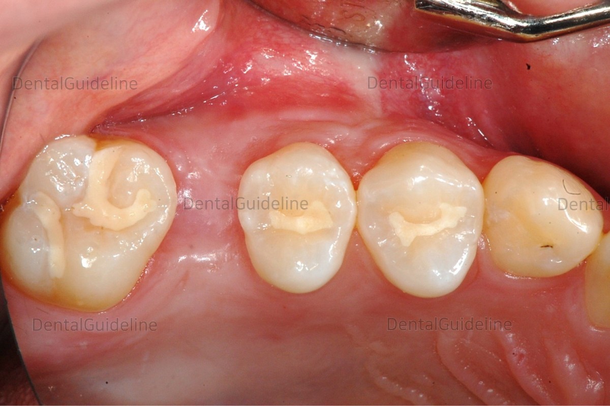
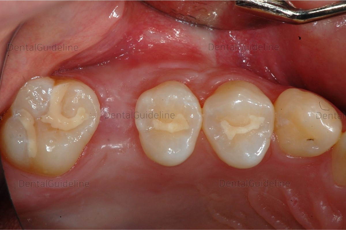
22. Custom abutment was connected.

23. Zirconium crown.
- PrevProsthetic treatment for space closure in the lower incisors.Nov, 17, 2022
- NextMaxillary Sinus Graft, Implant, MTM(Minor Tooth Movement), Oral Scanning Nov, 17, 2022
There are no registered comment.