Implantology
Dental Restoration
Dental Labrotary
2 implants placement (staged)-ARUM implant

HAPPYTOGETHER
Views : 2,913/ Oct, 31, 2022
Views : 2,913/ Oct, 31, 2022

Initial view.
2months after extraction
An implant was placed in the 1st molar zone with good initial stability.
positioner
The 2nd implant position was measured using POSITIONER
Re-check the distance between two implants.

ARUM NB1 implant
The implant in the 2nd molar zone also showed good initial stability.
After placing the implant, their position and path were checked with DIRECTION-PIN.
Additive GBR was performed.
collagen membrane

The flap was closed.

Panoramic radiograph after implant placement.
Measure the expected position of the placed implant using a positioner.
The posterior implant position is also searched in the same way.


9 weeks later, ISQ was checked.
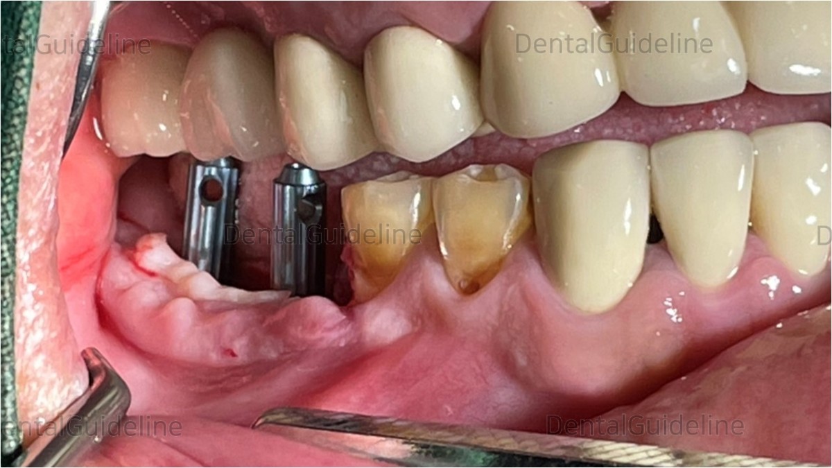
After ISQ reading, Healing abutments were connected to the implants

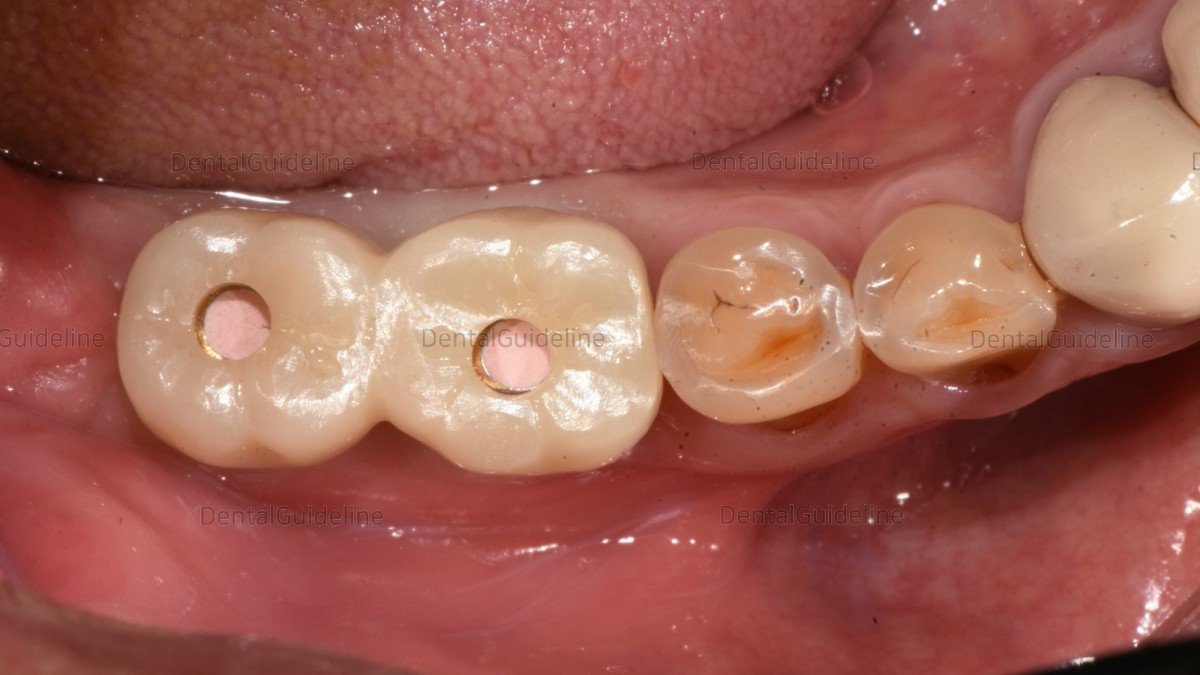
Customized abutment and crown (zirconia)
abutment connection and screw hole filling
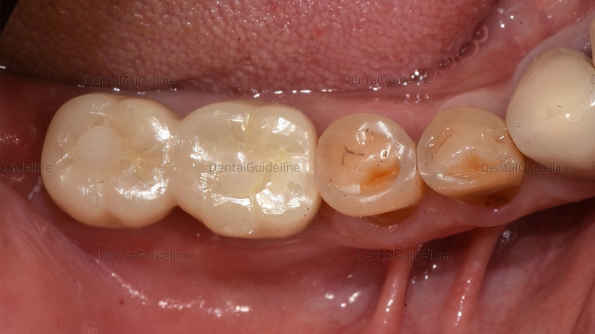
occlusal and contact point adjustment.
Permanent cementation and access hole filling with resin.



Radiographic images after restoration
0
- PrevMTM (Minor Tooth Movement) using brackets and segmented archwire followed by implant placementOct, 31, 2022
- NextLower Right the 1st Molar, Immediate Placement of an Implant Oct, 31, 2022
There are no registered comment.