Dental Restoration
Cosmetic Dentistry
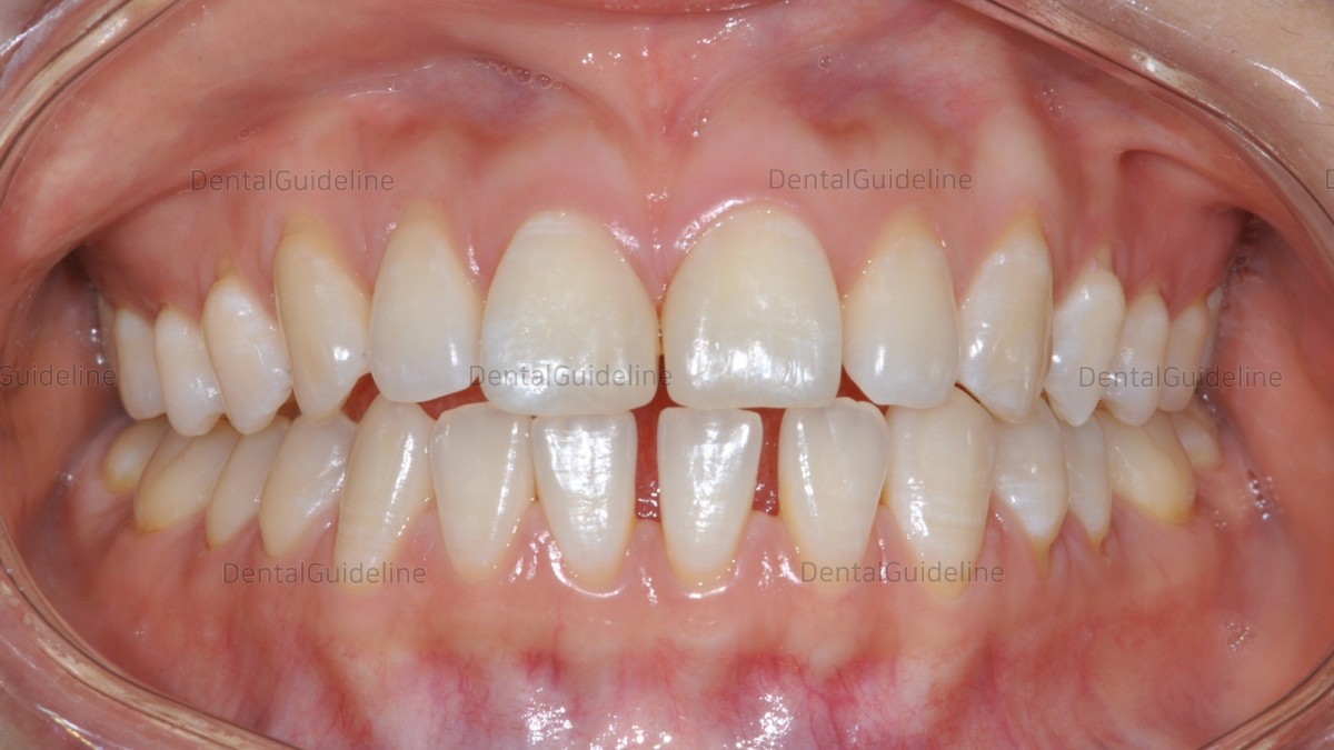
Prosthetic treatment for space closure in the lower incisors.

HAPPYTOGETHER
Views : 2,359/ Nov, 20, 2022
Views : 2,359/ Nov, 20, 2022
This
is a case that was treated 10 years ago.
Crowns were placed on both teeth to
aesthetically resolve the space in the mandibular anterior region.![]()
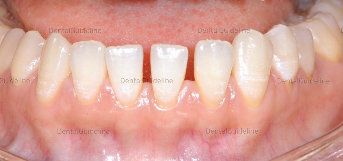
1. The patient's chief complaint was the space between the mandibular two central incisors.![]()
2. Detailed view.![]()
3. Shade check after tooth preparation. ![]()
4. zirconia crown. (The picture didn't come out clear because of the flash reflection)
0
- PrevPorcelain crowns & shade selection.Nov, 20, 2022
- NextApical Surgery in the esthetic zone and Restorations. SURGYBONE. Nov, 20, 2022
There are no registered comment.