Dental Restoration
Cosmetic Dentistry
Porcelain crowns & shade selection.

HAPPYTOGETHER
Views : 2,278/ Nov, 29, 2022
Views : 2,278/ Nov, 29, 2022
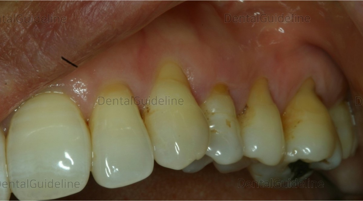
1. Initial photo.

2. It would be a good idea to provide the technician with as many shade tables as possible, including information on the color of the surrounding teeth so that the technician can make a judgment. This makes it less affected by the type of camera or ambient light conditions.

3. after restoration.
0
- PrevShade selection for prosthesisNov, 29, 2022
- NextProsthetic treatment for space closure in the lower incisors. Nov, 29, 2022
There are no registered comment.