Dental Restoration
Cosmetic Dentistry
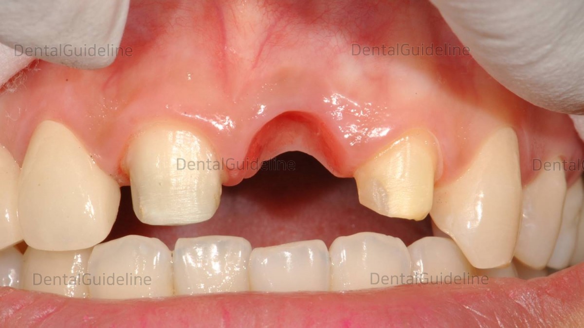
Anterior 3-unit fixed partial denture.

HAPPYTOGETHER
Views : 2,789/ Dec, 23, 2022
Views : 2,789/ Dec, 23, 2022
<CJssr> After extraction provisional resin bridge with ovate pontic was
provided to the patient for 6 weeks.



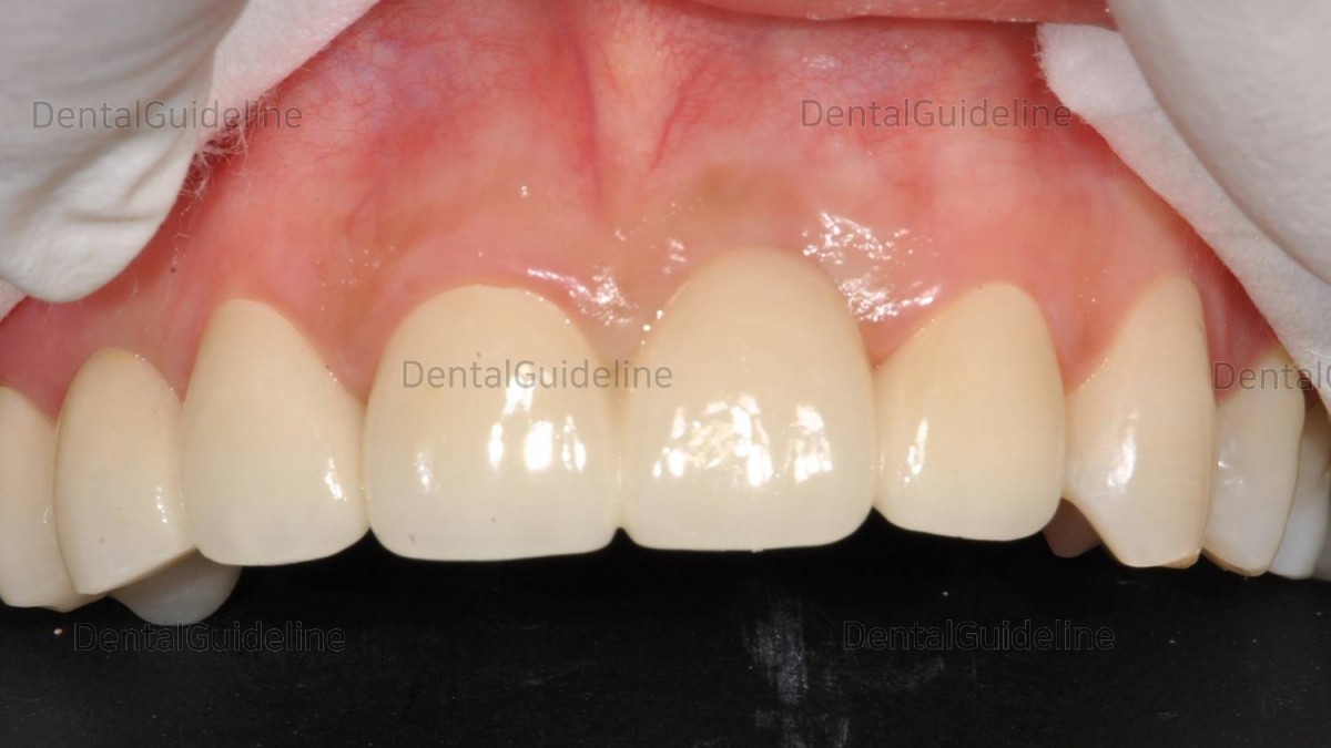
Final restoration. PFM 3-unit fixed partial denture.
Final restoration. PFM 3-unit fixed partial denture.
0
There are no registered comment.