Implantology
Dental Restoration
Cosmetic Dentistry
Digital Dentistry
Dental Labrotary
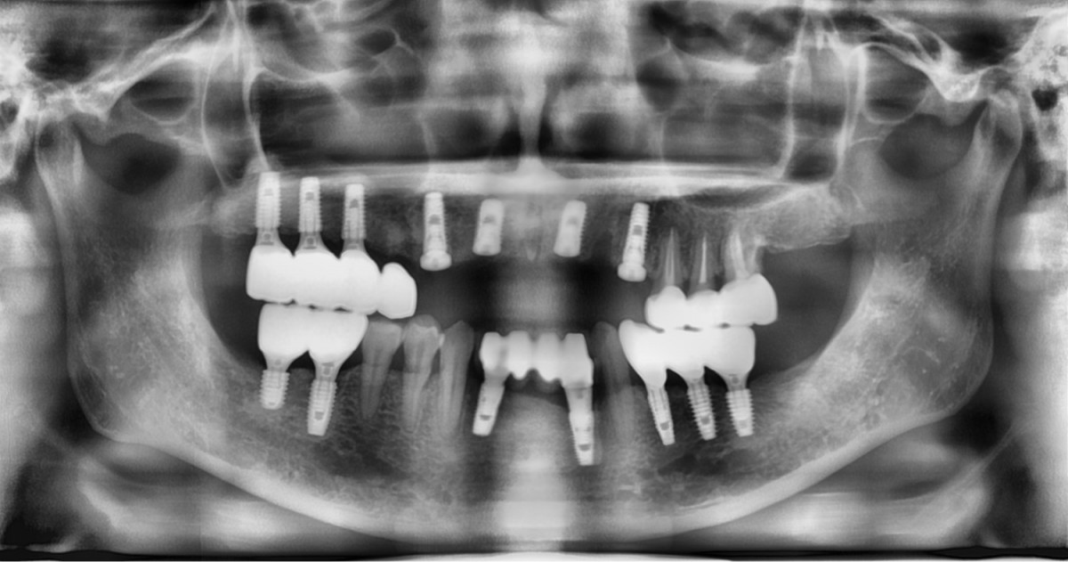
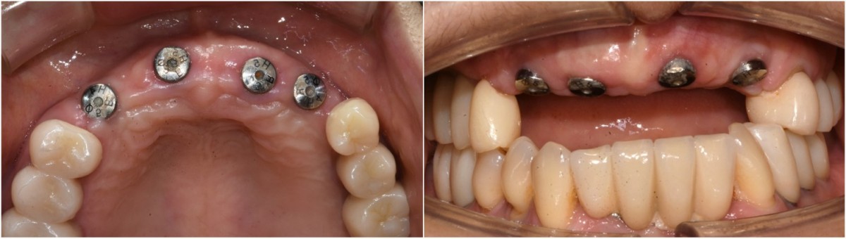
Anterior implant placement with Arum implant system in the maxilla.

HAPPYTOGETHER
Views : 5,401/ Jan, 11, 2023
Views : 5,401/ Jan, 11, 2023
<GCjoy>
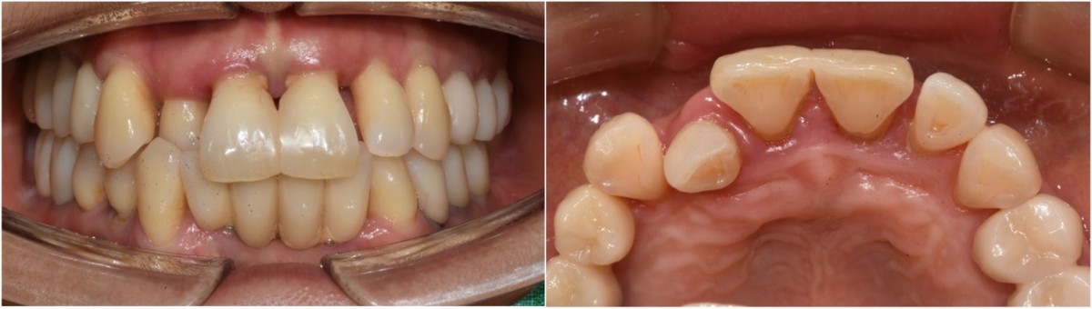
A 46-year-old female patient didn’t
have any systemic problems but a poor oral condition.
The patient is scheduled
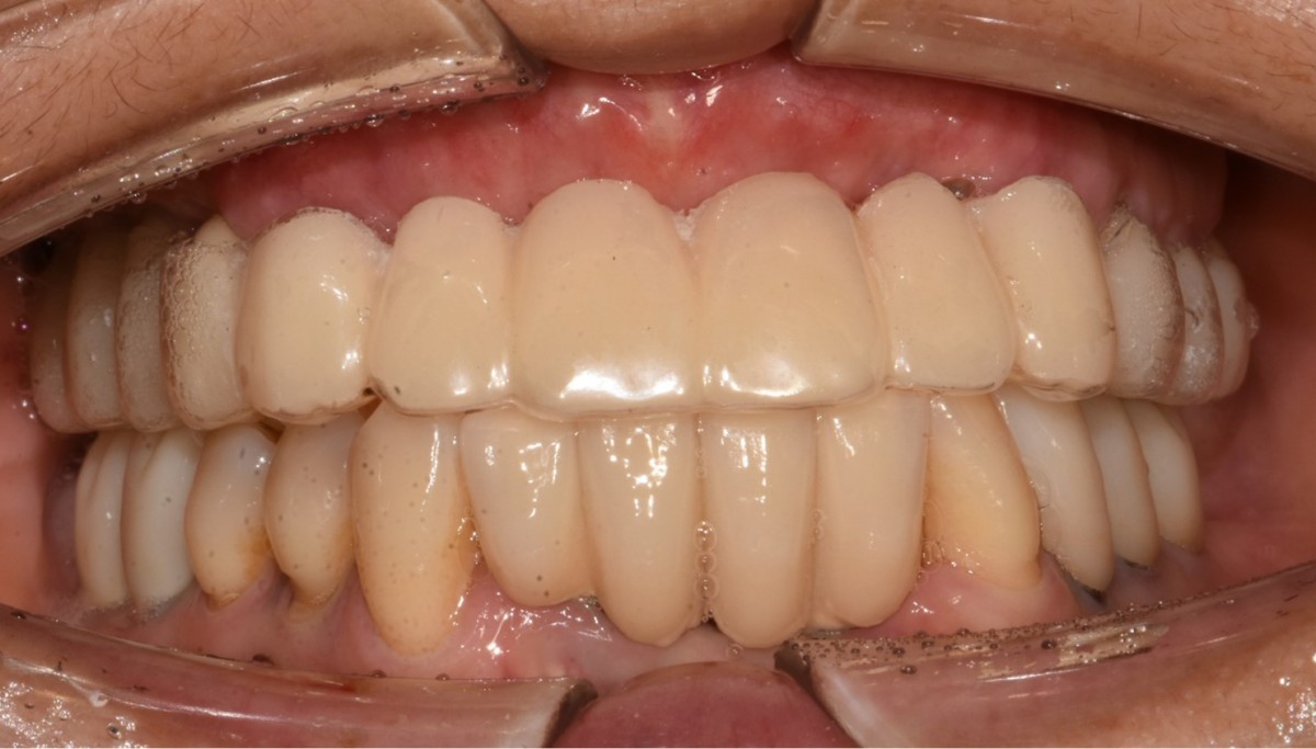
for the implant and general prosthetic restoration in various parts. First of
all, the vertical stop is completed by several prostheses in the posterior
region, and the final stage of intraoral restoration is to proceed with an
anterior implant installation.
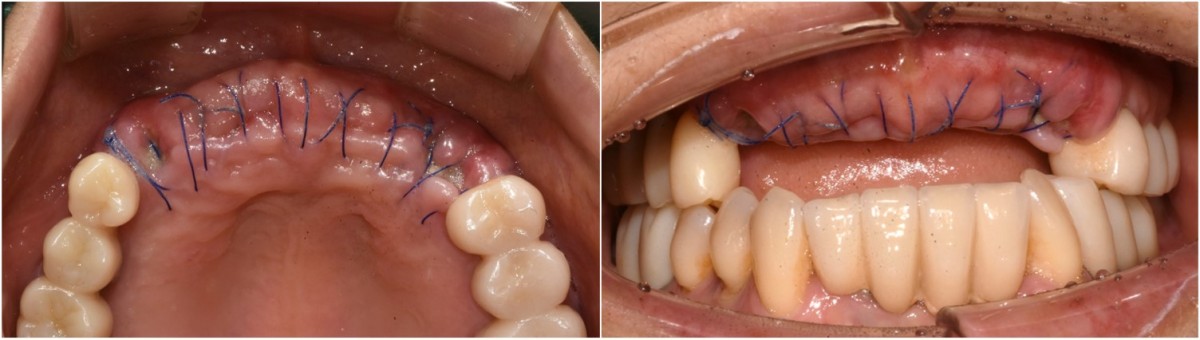
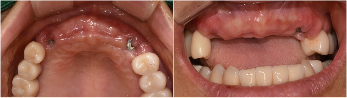
▲Fixture to be placed. Arum® implant NB1
▲Implant placement GBR
▲GBR(Xenograft).
0
- PrevIn the anterior maxilla, implant-supported fixed partial denture.Jan, 11, 2023
- NextCrowns in the esthetic zone. Jan, 11, 2023
There are no registered comment.