Dental Restoration
Cosmetic Dentistry
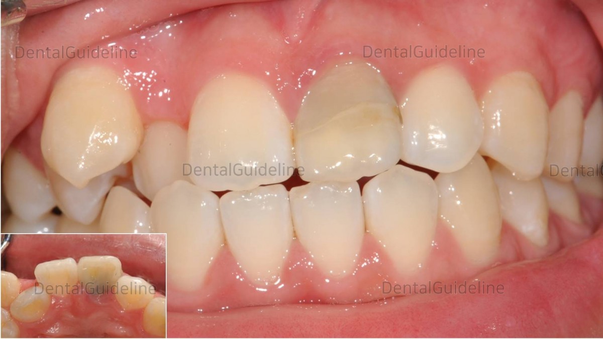
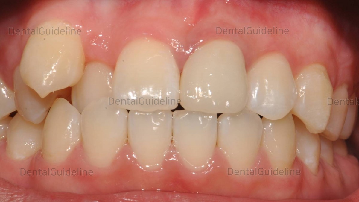
Single PFM crown in the esthetic region

HAPPYTOGETHER
Views : 2,737/ Jan, 26, 2023
Views : 2,737/ Jan, 26, 2023
<GCljy>
A case of a central incisor with deep caries. It was installed with PFM after root canal treatment.





Panoramic radiograph after 4 years.
A case of a central incisor with deep caries. It was installed with PFM after root canal treatment.
Panoramic radiograph after 4 years.
0
- PrevOvate pontic - esthetic restoration in the anterior maxilla.Jan, 26, 2023
- NextIn the anterior maxilla, implant-supported fixed partial denture. Jan, 26, 2023
There are no registered comment.