Orthodontics
Dental Labrotary
Minor Tooth Movement using tooth positioning appliance

HAPPYTOGETHER
Views : 2,168/ Jan, 09, 2023
Views : 2,168/ Jan, 09, 2023
<Jmsh>
Using the tooth set-up model, the positioning appliance was fabricated.
In the absence of an intraoral scanner, this type seems useful.

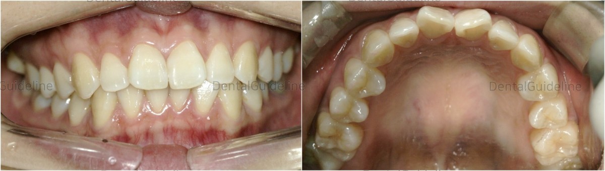
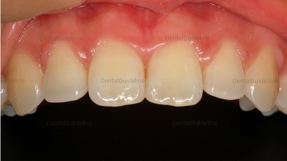
-first visit photo

- set-up model.

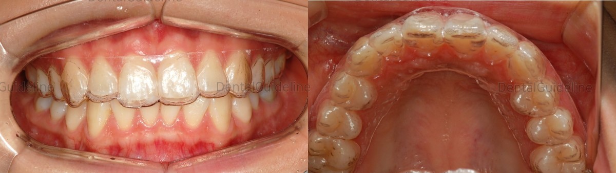
- the wearing of a series of appliances.

-one of the appliances.

-7 weeks later.

- 5 months later.

-9 months later.

-9.5 months later.

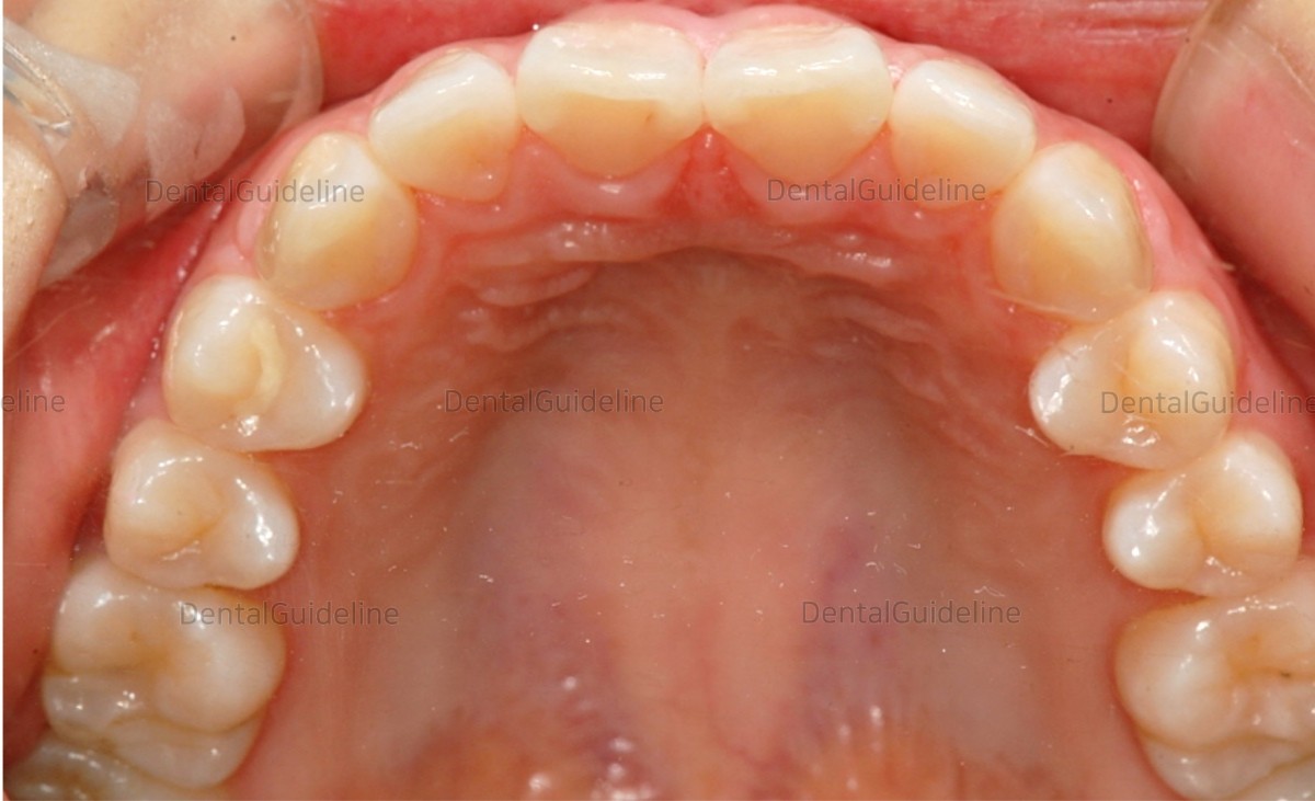
-10 months later (after shaping).

-retainer.
Using the tooth set-up model, the positioning appliance was fabricated.
In the absence of an intraoral scanner, this type seems useful.
-first visit photo
- set-up model.
- the wearing of a series of appliances.
-one of the appliances.
-7 weeks later.
- 5 months later.
-9 months later.
-9.5 months later.
-10 months later (after shaping).
-retainer.
0
- PrevMinor Tooth Movement using tooth positioning applianceJan, 09, 2023
- NextImplant in the upper and lower second molar Jan, 09, 2023
There are no registered comment.