Orthodontics
Dental Labrotary
Minor Tooth Movement using tooth positioning appliance

HAPPYTOGETHER
Views : 2,191/ Jan, 09, 2023
Views : 2,191/ Jan, 09, 2023
<Jpjh>
The intraoral appliance was fabricated using a set-up model.
This type of appliance is useful In the absence of an intraoral scanner,
Rrefer to post No.44.

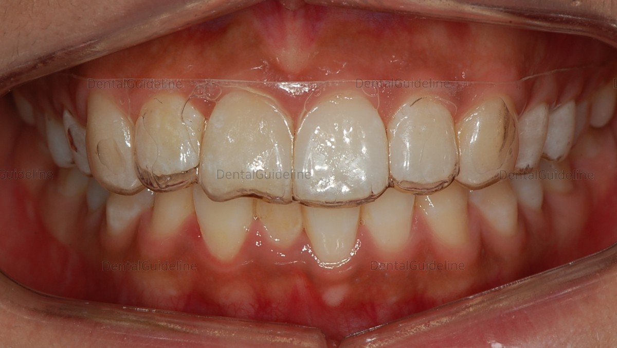
-first visit photo.

-set-up model

-wearing one of the appliances.

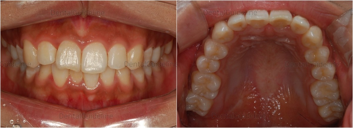
-5.5 months later

-7.5month later

-10 months later

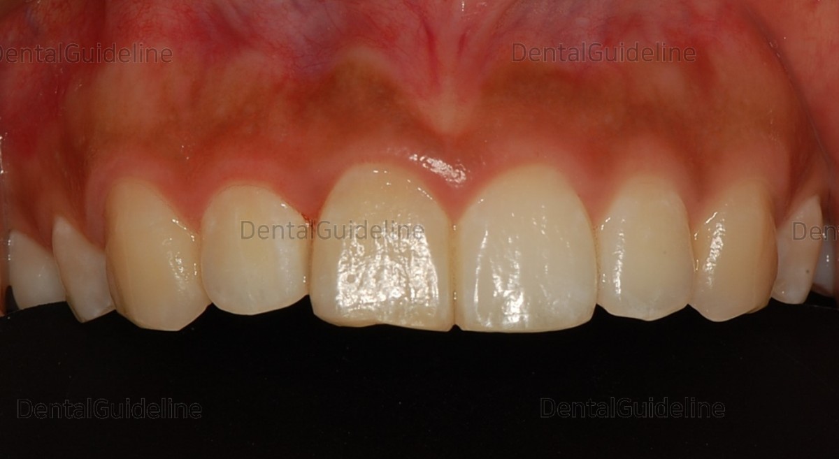
-retainer
The intraoral appliance was fabricated using a set-up model.
This type of appliance is useful In the absence of an intraoral scanner,
Rrefer to post No.44.
-first visit photo.
-set-up model
-wearing one of the appliances.
-5.5 months later
-7.5month later
-10 months later

-retainer
0
- PrevAnterior implant placement with Arum implant system in the maxilla.Jan, 09, 2023
- NextMinor Tooth Movement using tooth positioning appliance Jan, 09, 2023
There are no registered comment.