Implantology
Dental Restoration
Digital Dentistry
Dental Labrotary
Single Implant Flapless Surgery (Arum NB1 implant)

Views : 3,460/ Nov, 08, 2022
A 58-year-old male patient has various dental problems; severely perio-involved teeth. missing tooth and elongated opposing tooth, caries, ill-fitting crown, etc.
The patient has mouth-opening limitations and a gag reflex. Also, he has a kind of intolerance when something remains in his mouth.
He is a heavy smoker and taking hyperlipidemia
medication. <CJjbw>

Intraoral photo before the surgery
Pre-op. panoramic radiograph
![]()
Rough simulation on the CBCT scan image.
The size, length, and position of the implant were simply checked.

Flapless
surgery was performed. An initial drill(Ø2.2mm) was
used for osteotomy with saline cooling at 800rpm followed by serial drillings
with non-irrigation at a speed of less than 100rpm. 

(Arum Dentistry NB1 4.5/10mm)
![]()
A healing abutment was engaged to the
fixture trying to expand the gum.
![]()
A final-sized healing abutment was
engaged to the fixture.

Post-op panoramic radiograph. <ARUM DENTISTRY NB 4.5/10mm>
![]()
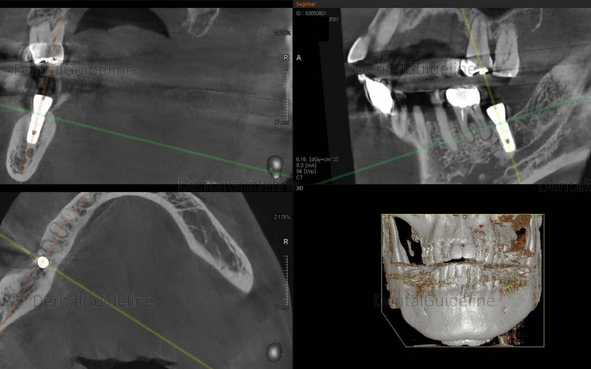
Post-op CBCT.
About 3.5 months after the placement of the implant.
ISQ measurement with Osstell IDX kit
The healing abutment was replaced with a scan-abutment
Intra-oral scanning for digital impression.
The photo shows a customized abutment, orientation jig, and crown(zirconia)
The customized abutment was connected to the fixture.
The screw access hole in the abutment was filled with a temporary filling material.
Permanent cementation and the screw-access hole was filled with composite resin.

Panoramic radiograph
CBCT
There are no registered comment.