Implantology
Digital Dentistry
Dental Labrotary
Implant Overdenture (Maxilla), surgical guide

HAPPYTOGETHER
Views : 2,737/ Nov, 11, 2022
Views : 2,737/ Nov, 11, 2022
Implant Overdenture. <Jnsy>

Edentulous maxilla.

Panoramic radiograph.

The existing denture was replicated for making a surgical guide. (Denture Duplicator made by LANG Co.)

Make a few holes in the place expected to be implanted,


After filling the hole with a radiopaque material (Caviton®), take a radiograph to determine the implant placement location.



After inserting the surgical guide into the oral cavity, it is seated and marked on the gingiva using a lance drill with a pointed tip.


Open the flap at the confirmed location, drill appropriately according to the bone quality, and place the implant. (HiOssen Co. 4*10mm)



2 implants were placed in the planned place.



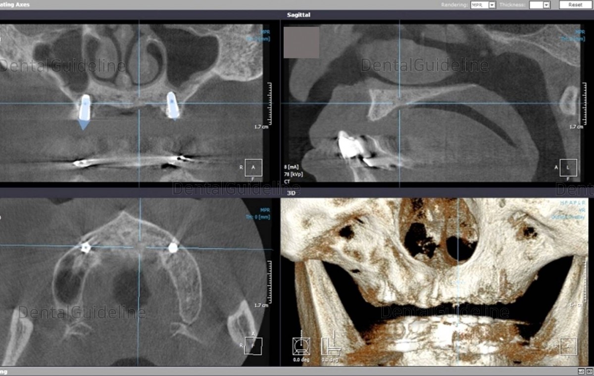
Check the angle between the two implants on the radiograph

10 days after implant placement.

17 days after implant surgery

Edentulous maxilla.

Panoramic radiograph.
The existing denture was replicated for making a surgical guide. (Denture Duplicator made by LANG Co.)
Make a few holes in the place expected to be implanted,
After filling the hole with a radiopaque material (Caviton®), take a radiograph to determine the implant placement location.

After inserting the surgical guide into the oral cavity, it is seated and marked on the gingiva using a lance drill with a pointed tip.


Open the flap at the confirmed location, drill appropriately according to the bone quality, and place the implant. (HiOssen Co. 4*10mm)


2 implants were placed in the planned place.
Check the angle between the two implants on the radiograph

10 days after implant placement.

17 days after implant surgery
0
- PrevMaxillary Sinus Graft, Implant, MTM(Minor Tooth Movement), Oral ScanningNov, 11, 2022
- NextSingle Implant Flapless Surgery (Arum NB1 implant) Nov, 11, 2022
There are no registered comment.