Dental Restoration
Cosmetic Dentistry
Endodontics
Oral Surgery
Apical Surgery in the esthetic zone and Restorations. SURGYBONE.

HAPPYTOGETHER
Views : 2,751/ Nov, 12, 2022
Views : 2,751/ Nov, 12, 2022
A lady who is about to get married in a month.
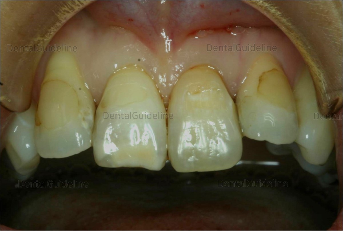
Chief Complaints; Discoloration due to past resin treatment of the incisors, and repeated fistula at the left central incisor. (Jsgh)

Initial photo.

Root canal treatment was done first,

CBCT shows the apical lesion

The incision was given in the middle of the incisal frenum.

The mucosal tissue was separated from the alveolar bone


A piezo-electric surgery machine was used.

(SURGYBONE®, SILFRADENT Co. Italy)

Piezo inserts.

The granulation tissue and the infected root apex were removed.

GBR was performed (FDBA + Xenograft). It is also good to use a conventional collagen membrane.

CGF(Concentrated Growth Factor) membrane was used to cover the grafted site.

CGF generating machine (MEDIFUGE®, Silfradent, Italy)

The incision line was sutured with black silk.
®®®

Periapical X-ray after apical surgery.

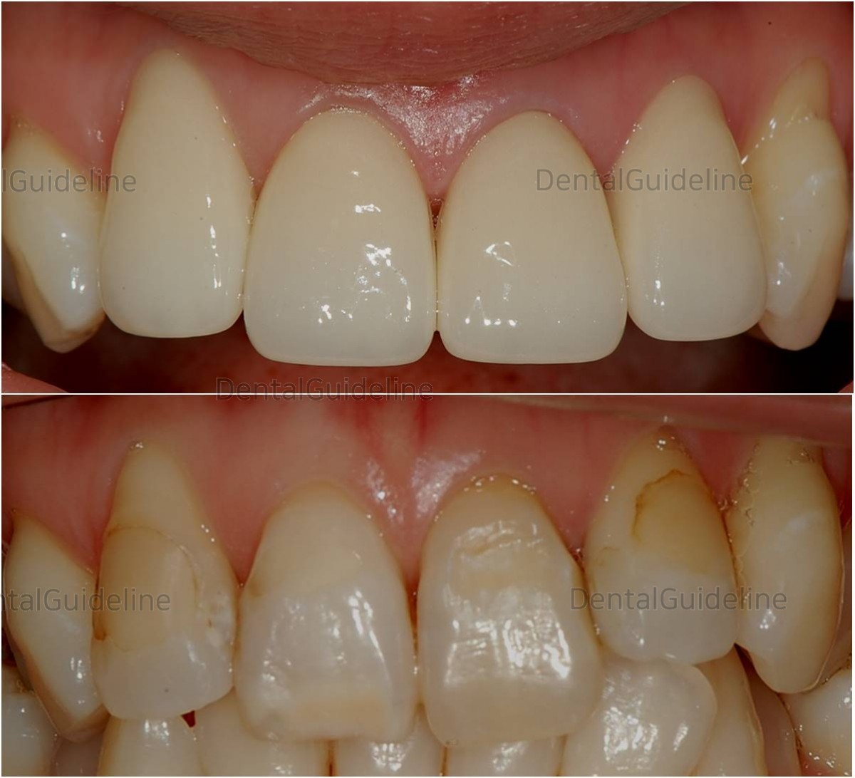
Photo after Restoration(upper) and Initial photo(lower)
Chief Complaints; Discoloration due to past resin treatment of the incisors, and repeated fistula at the left central incisor. (Jsgh)
Initial photo.

Root canal treatment was done first,

CBCT shows the apical lesion
The incision was given in the middle of the incisal frenum.

The mucosal tissue was separated from the alveolar bone


A piezo-electric surgery machine was used.

(SURGYBONE®, SILFRADENT Co. Italy)

Piezo inserts.
The granulation tissue and the infected root apex were removed.

GBR was performed (FDBA + Xenograft). It is also good to use a conventional collagen membrane.

CGF(Concentrated Growth Factor) membrane was used to cover the grafted site.

CGF generating machine (MEDIFUGE®, Silfradent, Italy)
The incision line was sutured with black silk.
®®®

Periapical X-ray after apical surgery.
Photo after Restoration(upper) and Initial photo(lower)
0
- PrevCrown lengthening & restoration 7-year follow-upNov, 12, 2022
- NextApical Surgery (Apicoectomy) and bone graft Nov, 12, 2022
There are no registered comment.