Endodontics
Oral Surgery
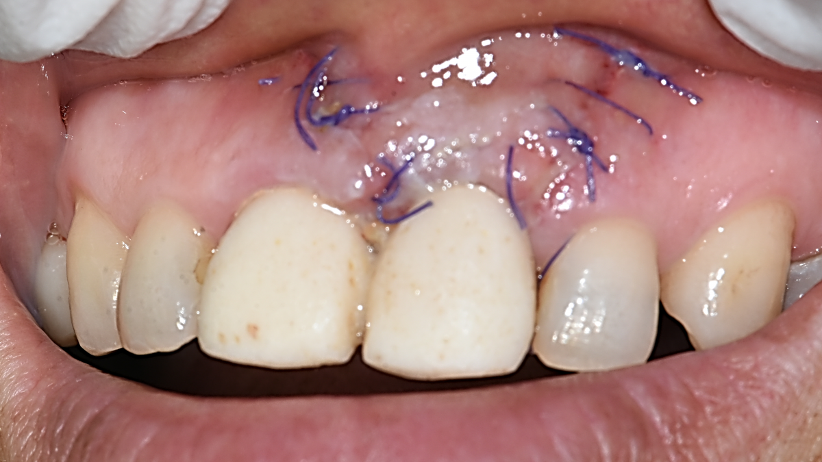
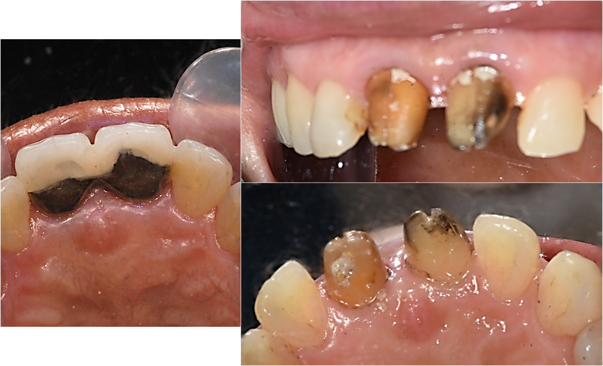
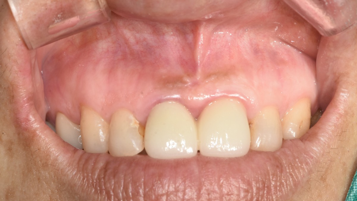
Apicorctomy /central incisor /GBR ; 6-year follow up.

HAPPYTOGETHER
Views : 568/ Oct, 18, 2025
Views : 568/ Oct, 18, 2025
<CJ SBN> Apicorctomy /central incisor /GBR ; 6-year follow up.
▲CBCT. Left central incisor had a apical lesion.
0
There are no registered comment.