Dental Restoration
Cosmetic Dentistry
Periodontics
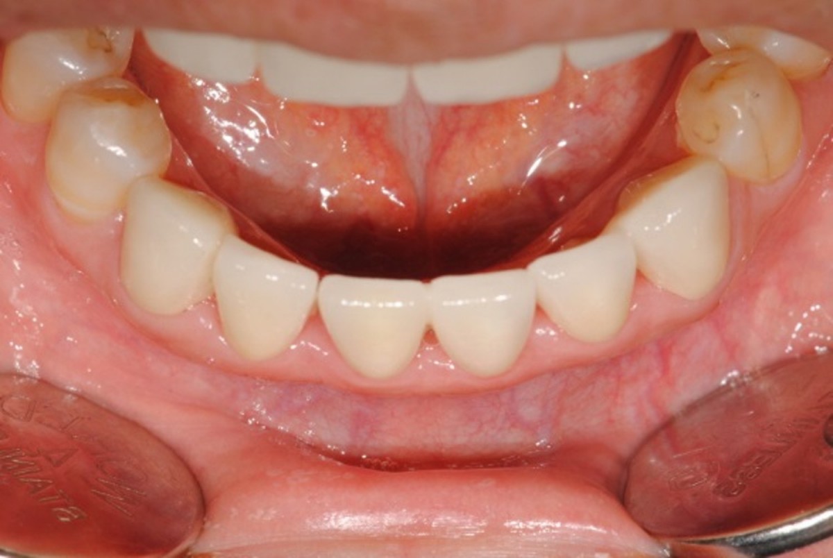
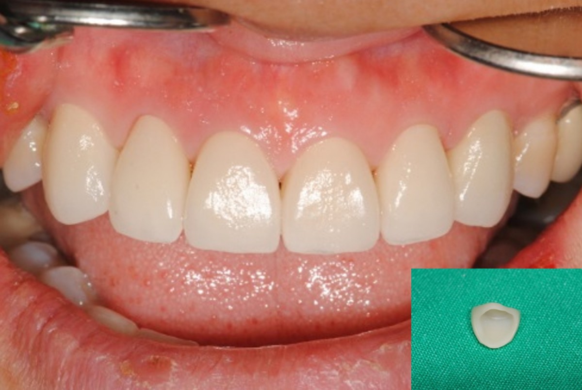
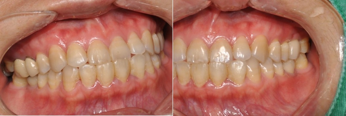
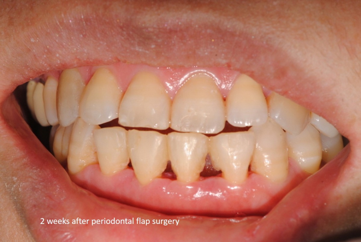
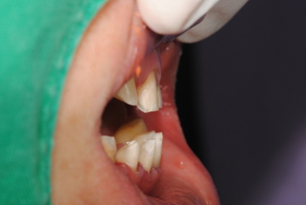
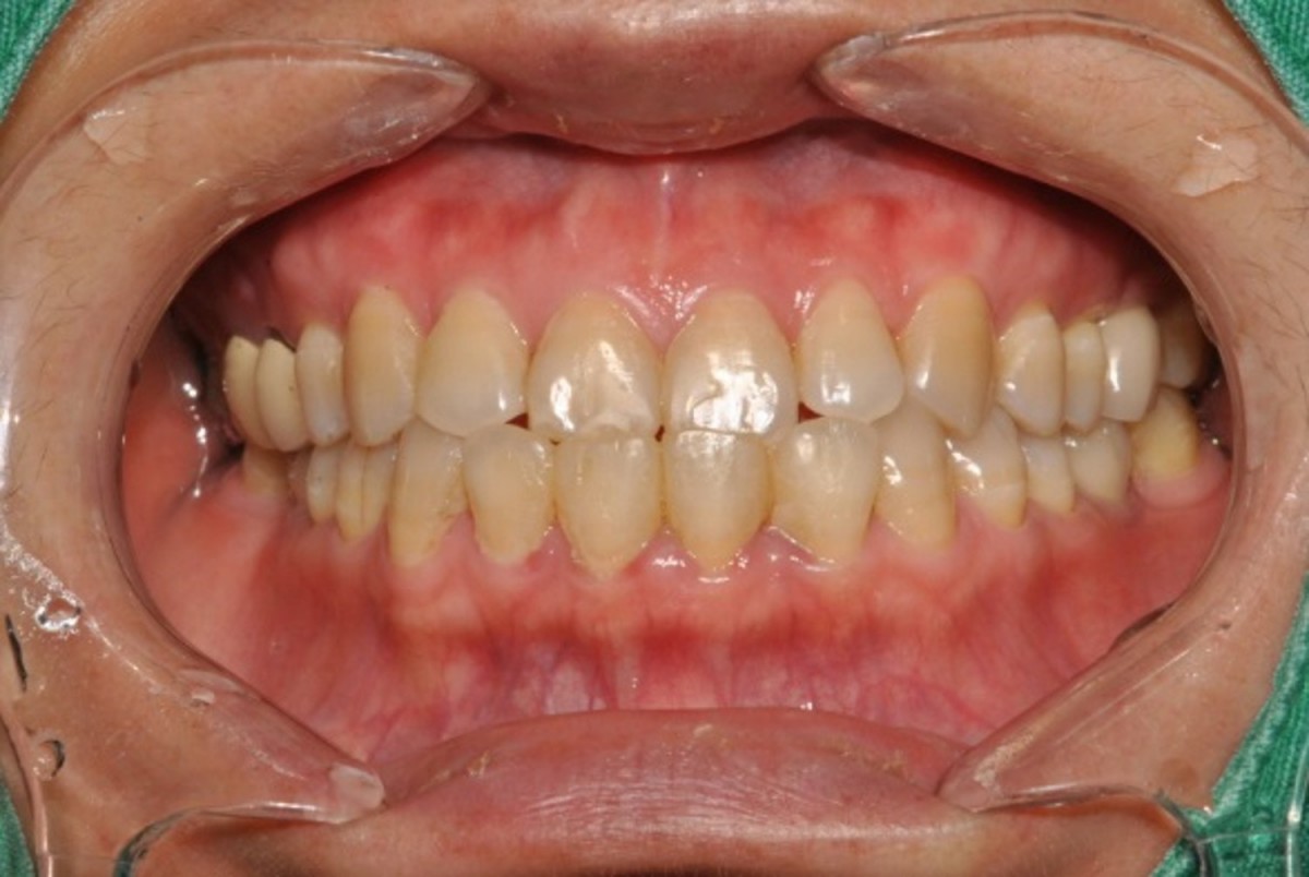
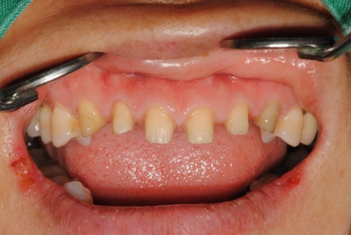
Aesthetic Restoration for the Anterior Crossbite Patient.

HAPPYTOGETHER
Views : 973/ Sep, 19, 2025
Views : 973/ Sep, 19, 2025
<CJ KCM>
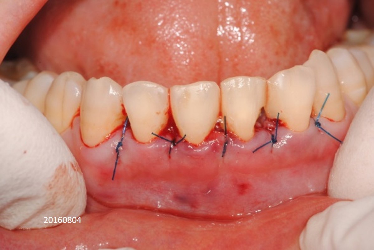
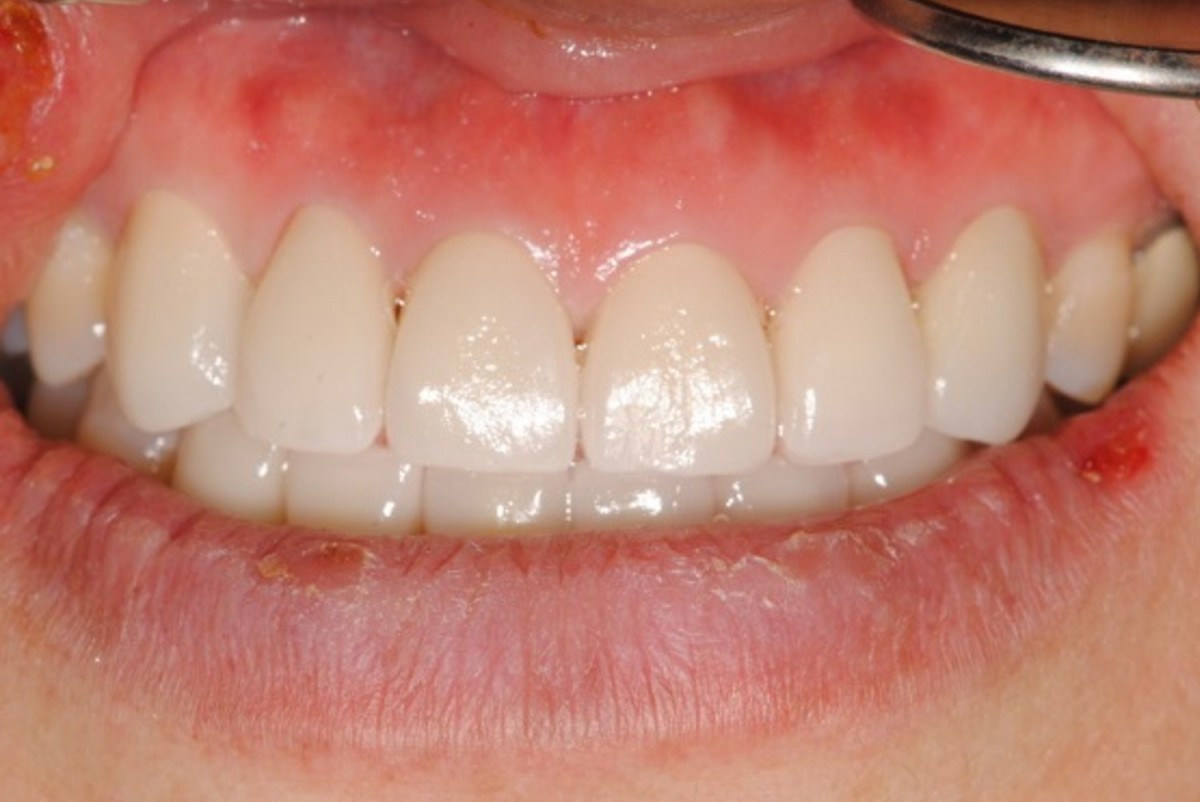
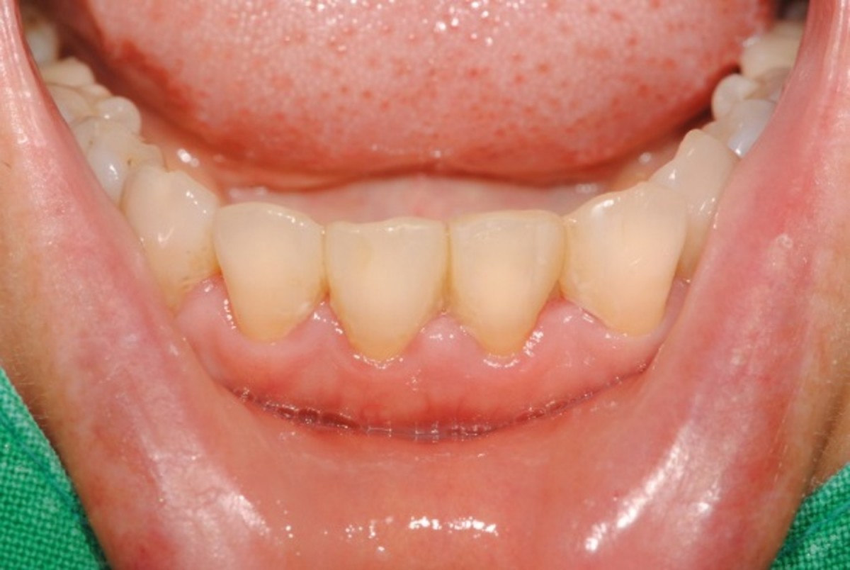
Aesthetic Restoration for the Anterior Crossbite Patient after Periodontal Treatment.
Aesthetic Restoration for the Anterior Crossbite Patient after Periodontal Treatment.
0
There are no registered comment.