Implantology
Dental Restoration
Dental Labrotary
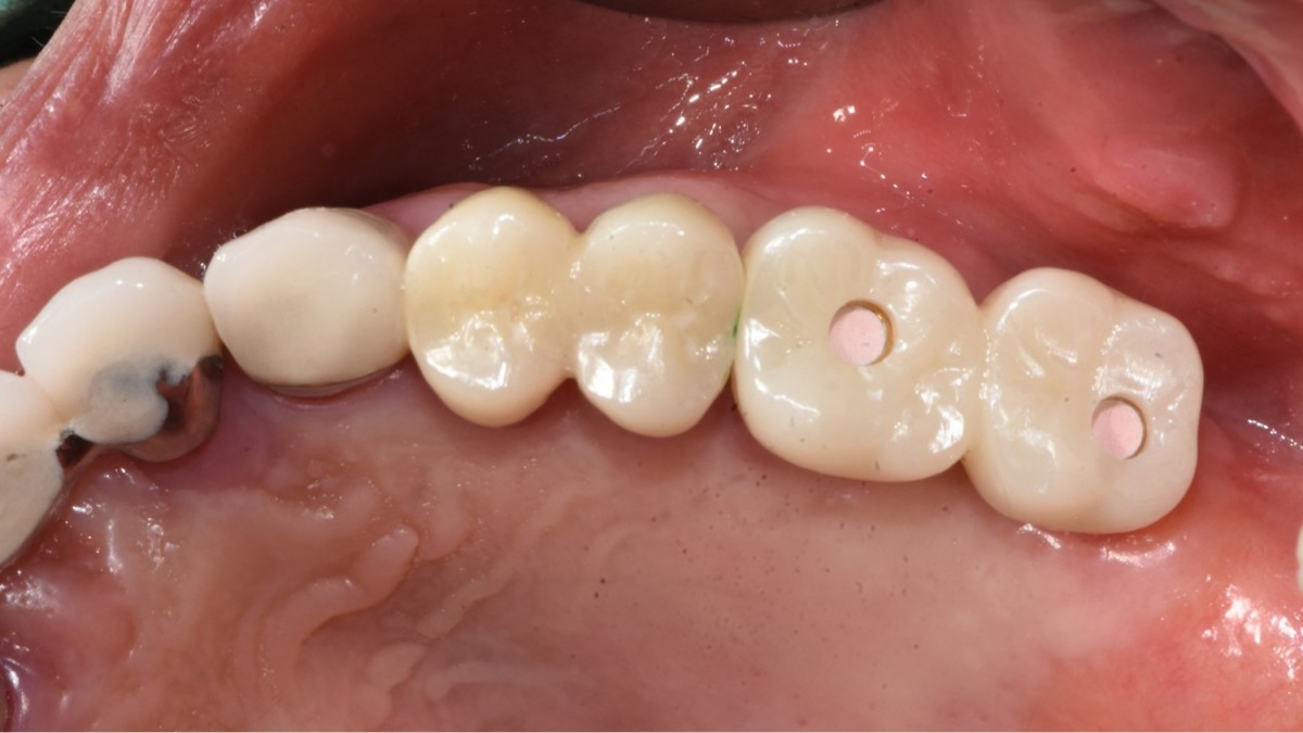
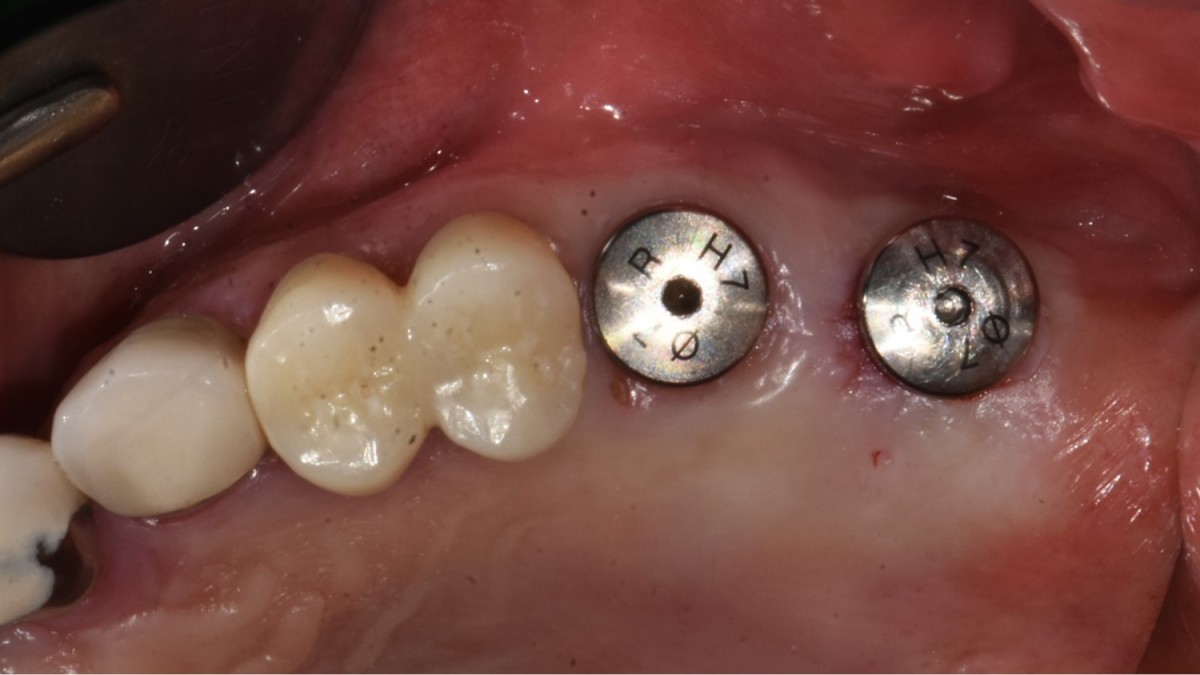
Immediate implant placement in the left molar of the maxilla.

HAPPYTOGETHER
Views : 4,106/ Jan, 19, 2023
Views : 4,106/ Jan, 19, 2023
<GCacg>
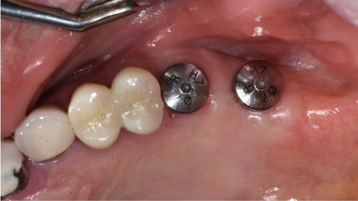
A 57-year-old male patient recently underwent
implant restoration on the maxillary right molar. This time, he is scheduled to
proceed with the left molars. (ARUM implant system)
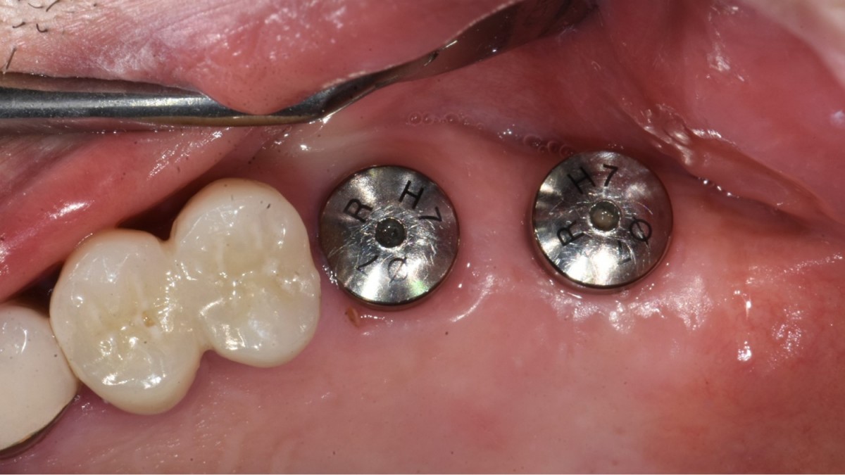
▲2 implants were placed. ArumDentistry NB1 5*10 (30Ncm) in the 1st molar and 5*10 (10Ncm) in the 2nd molar.
▲HA was inserted into the membrane with a hole in the middle and then inserted into the place where the Direction Pin was pulled out
0
- PrevSocket Lift and Implant Placement in the right maxilla.Jan, 19, 2023
- NextAnterior implant placement with Arum implant system in the maxilla. Jan, 19, 2023
There are no registered comment.