Implantology
Dental Restoration
Digital Dentistry
Dental Labrotary
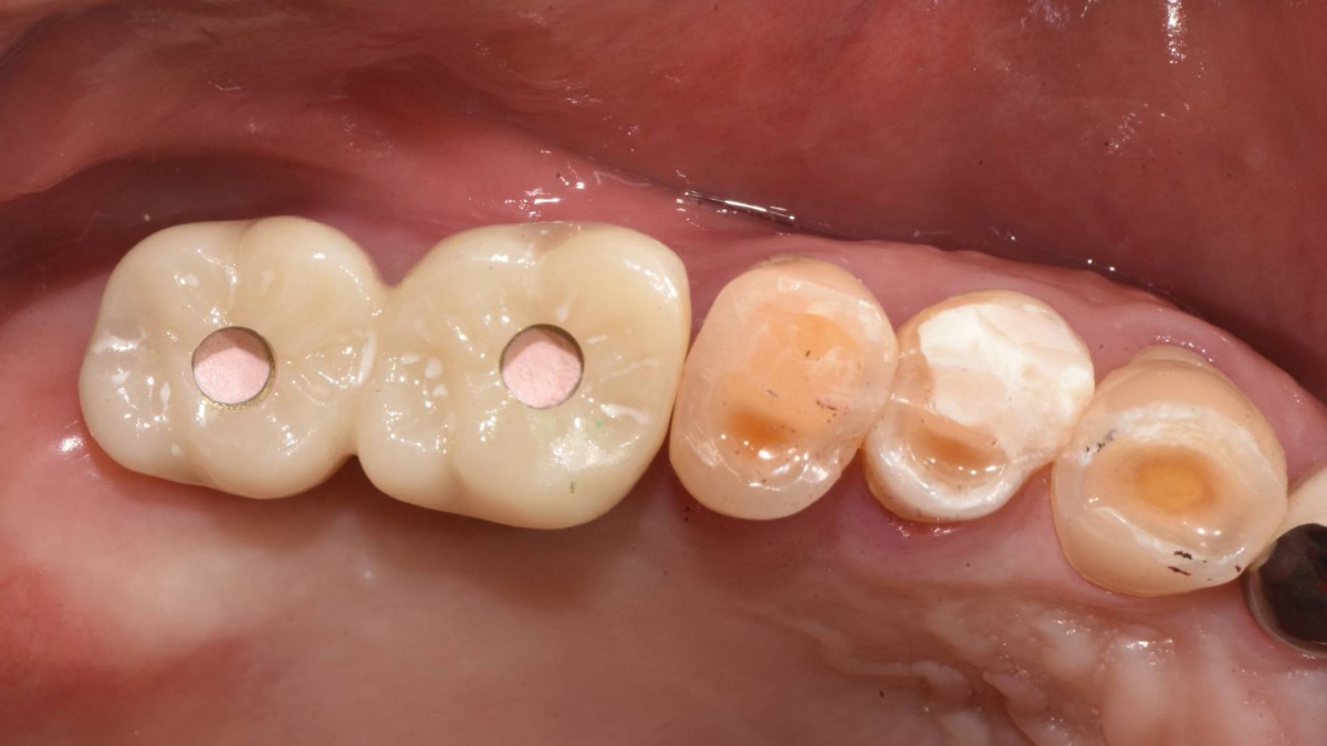
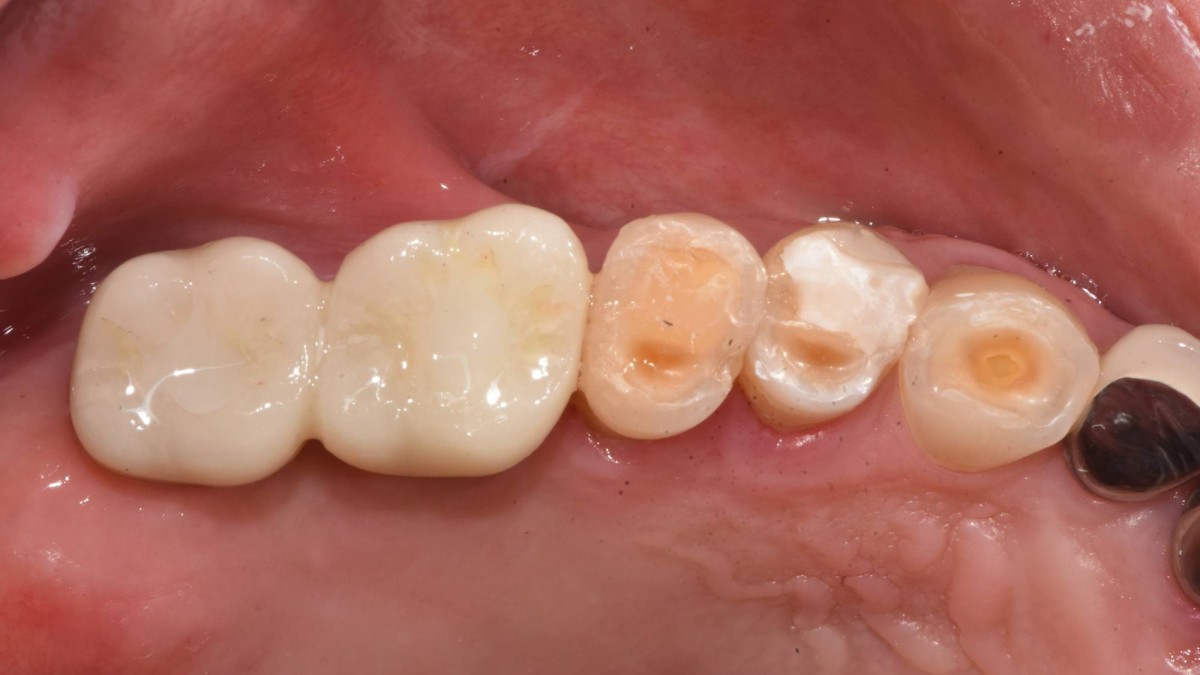
Socket Lift and Implant Placement in the right maxilla.

HAPPYTOGETHER
Views : 4,434/ Jan, 19, 2023
Views : 4,434/ Jan, 19, 2023
<GCacg> A 56-year-old male patient complained of pain in the right upper and lower jaws. And he wanted the upper first molar to be pulled out first.
0
- PrevIn the anterior maxilla, implant-supported fixed partial denture.Jan, 19, 2023
- NextImmediate implant placement in the left molar of the maxilla. Jan, 19, 2023
There are no registered comment.