Implantology
Dental Restoration
Cosmetic Dentistry
Dental Labrotary
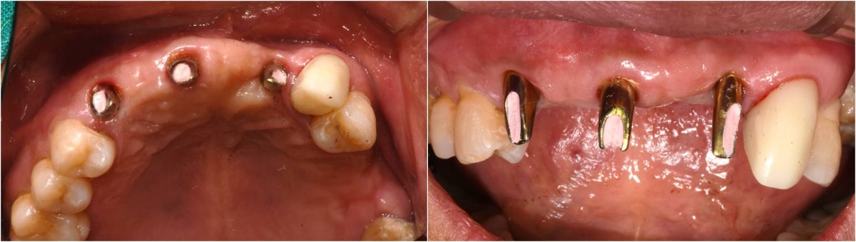
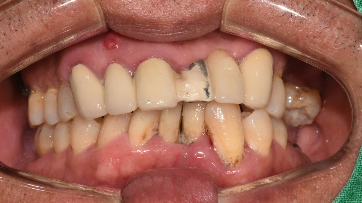
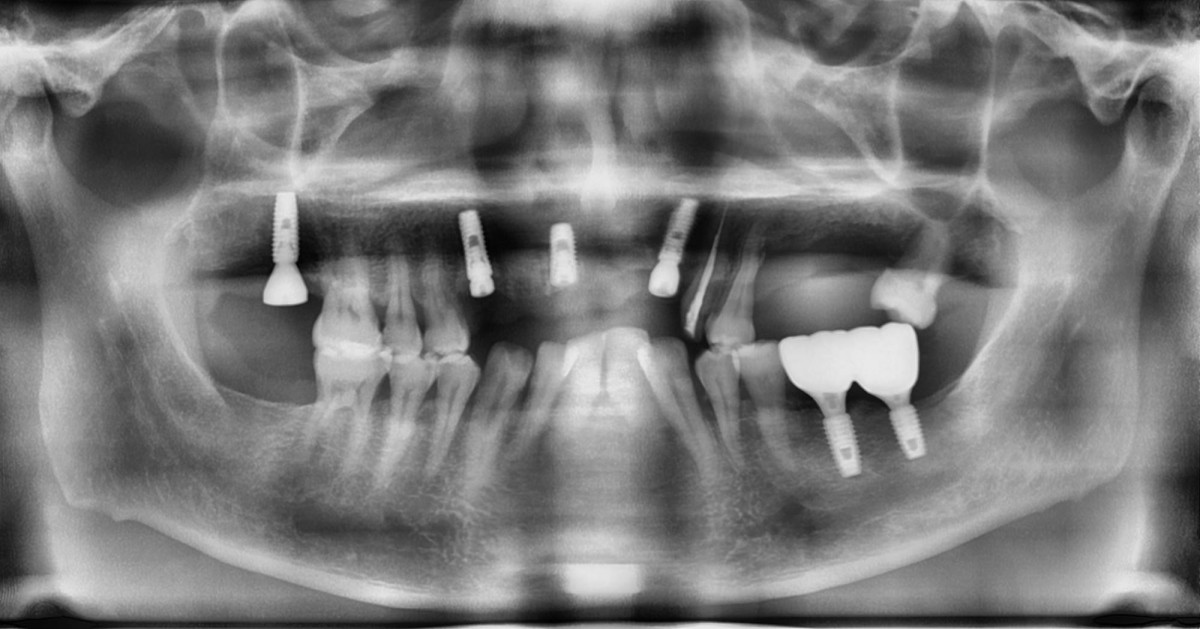
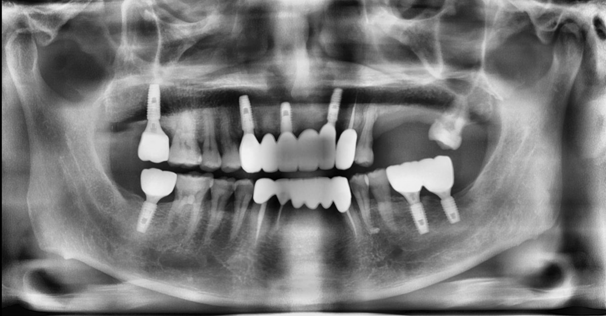
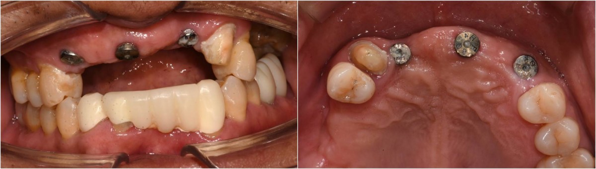
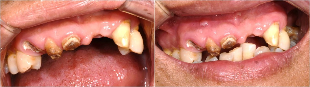
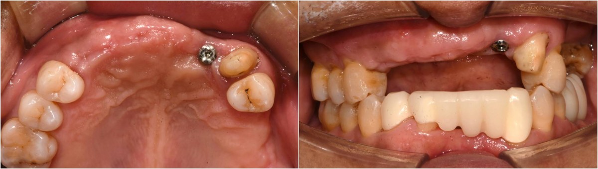
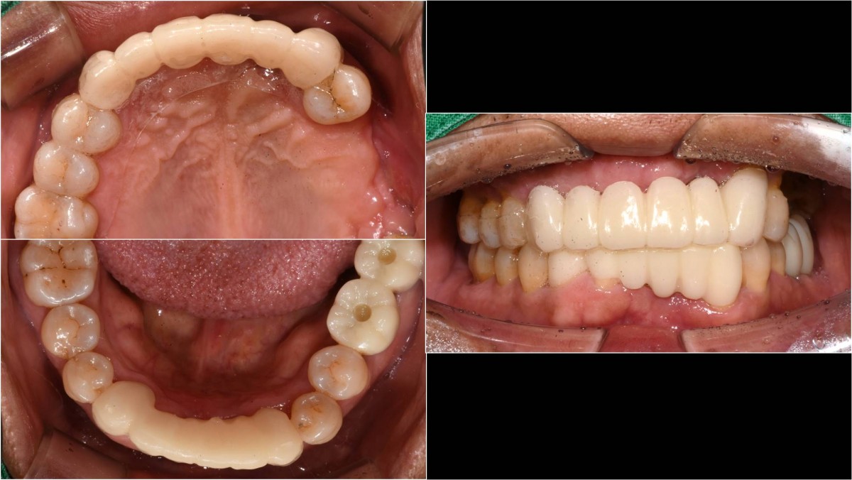
In the anterior maxilla, implant-supported fixed partial denture.

HAPPYTOGETHER
Views : 5,103/ Jan, 19, 2023
Views : 5,103/ Jan, 19, 2023
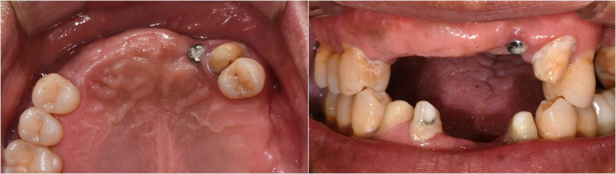
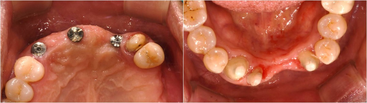
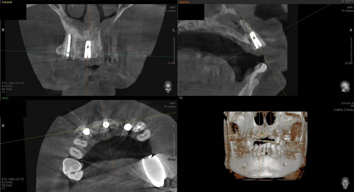
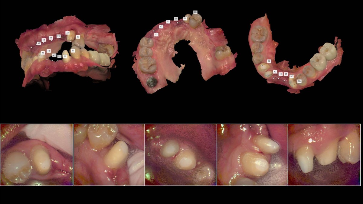
<GCpbc> A 58-year-old male is a patient undergoing implant installation in various parts. The old Br of the anterior maxilla has fallen
off and it is no longer possible to maintain it even temporarily, so a
treatment plan for the anterior teeth was made.
0
- PrevMaxillary Sinus Graft, 2 Implants, Crown ContouringJan, 19, 2023
- NextSocket Lift and Implant Placement in the right maxilla. Jan, 19, 2023
There are no registered comment.