Implantology
Dental Restoration
Dental Labrotary
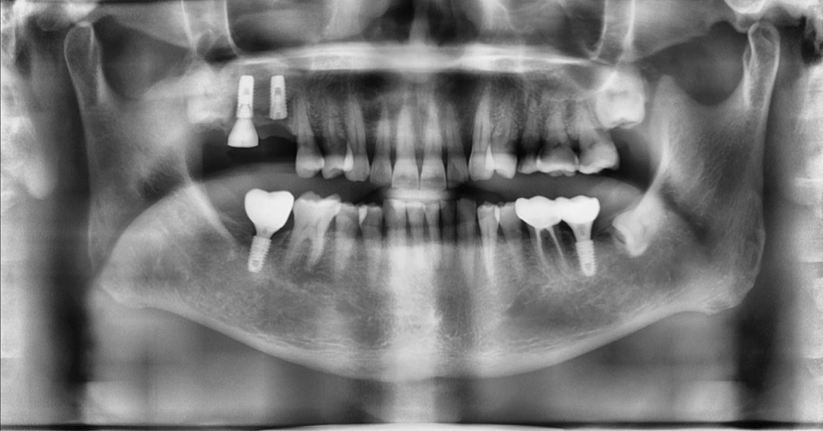
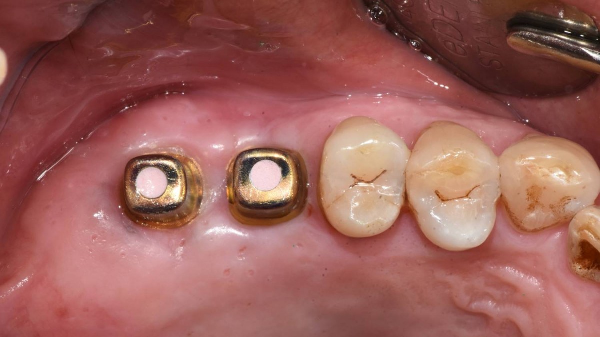
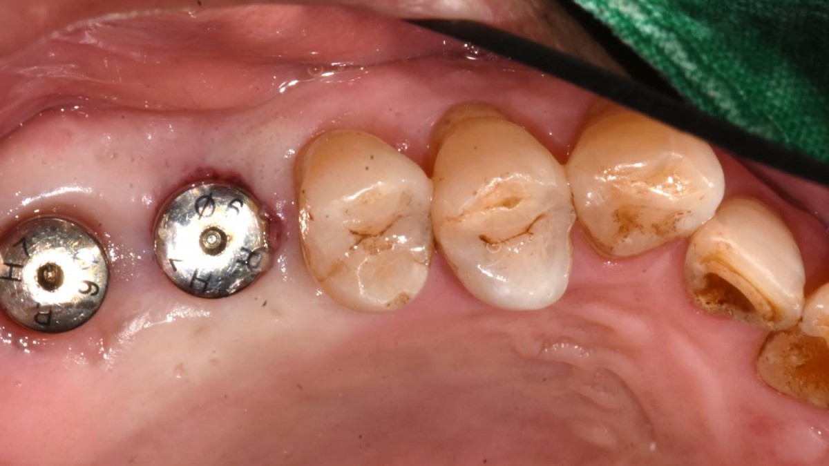
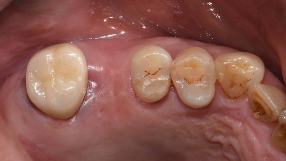
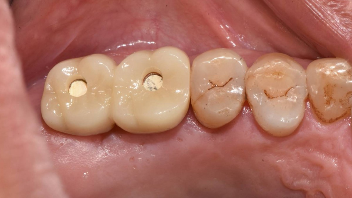
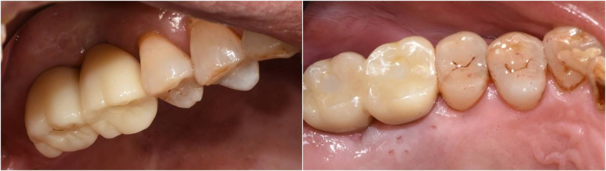
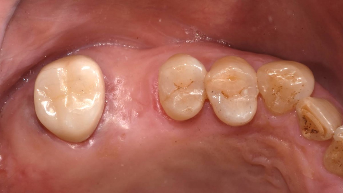
Maxillary Sinus Graft, 2 Implants, Crown Contouring

HAPPYTOGETHER
Views : 4,285/ Jan, 20, 2023
Views : 4,285/ Jan, 20, 2023
<GCaks> A 56-year-old male patient had pain-inducing caries, and perio-involved tooth mobility resulted in a tooth fracture at 1st molar. And it was removed months ago. He was a heavy smoker and showed poor oral hygiene.
0
- PrevSingle PFM crown in the esthetic regionJan, 20, 2023
- NextIn the anterior maxilla, implant-supported fixed partial denture. Jan, 20, 2023
There are no registered comment.