Implantology
Dental Restoration
Dental Labrotary
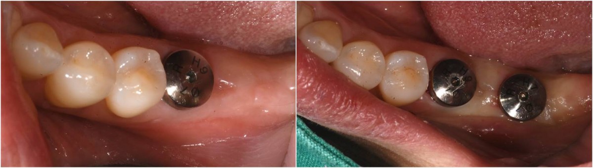
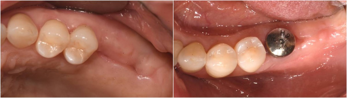
Implant in the molar zone of both jaws

HAPPYTOGETHER
Views : 4,210/ Jan, 29, 2023
Views : 4,210/ Jan, 29, 2023
<GCljoo>
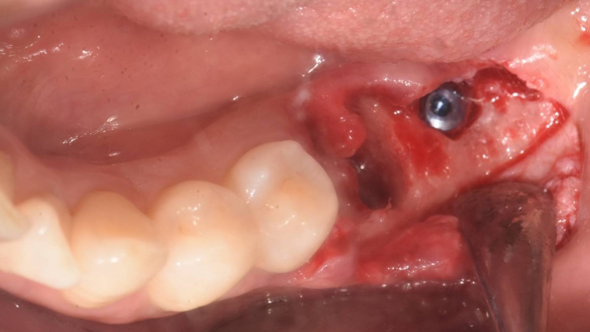
A 55-year-old female patient had
bilateral problems in both jaws.
It was decided to proceed with implant-supported restoration in the left molar part first.
She had been taking hypertension medication for a long time.
▲Panoramic radiograph before the implant surgery in the lower left area.
▲post-op panoramic radiograph.
▲. Panoramic radiograph after implant placement in the maxilla.(3 weeks after implant placement in the mandible)
▲Panoramic radiograph after 1 year of the crown delivery.
0
- PrevVideo, Immediate Implant Placement, Flapless ;PremolarJan, 29, 2023
- NextSingle PFM crown in the esthetic region Jan, 29, 2023
There are no registered comment.