Implantology
Dental Restoration
Orthodontics
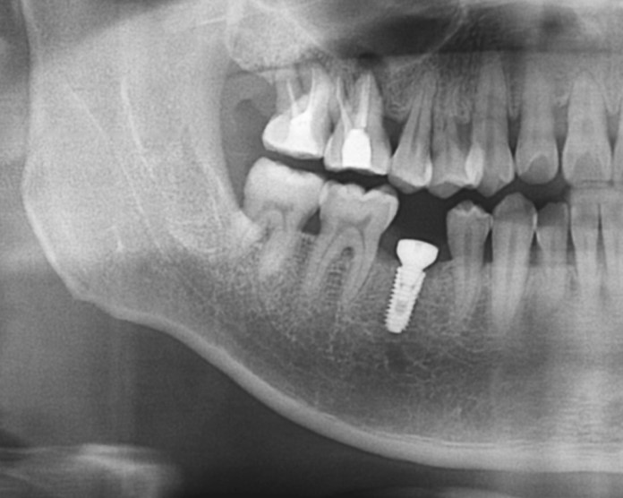
Minor Tooth Movement before implant supported restoration

HAPPYTOGETHER
Views : 2,629/ Nov, 03, 2024
Views : 2,629/ Nov, 03, 2024
J-JSH
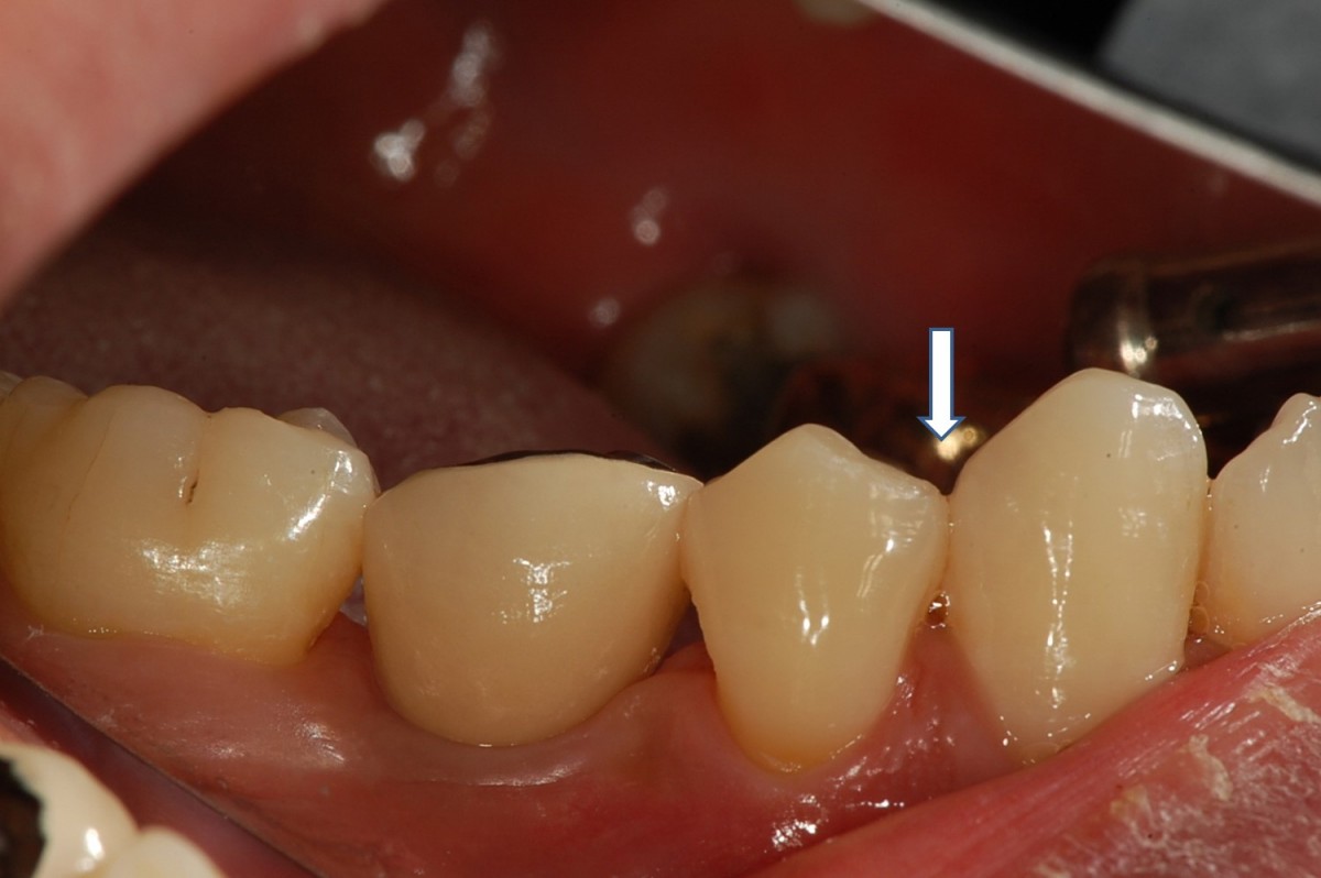
▲Remaining promary tooth
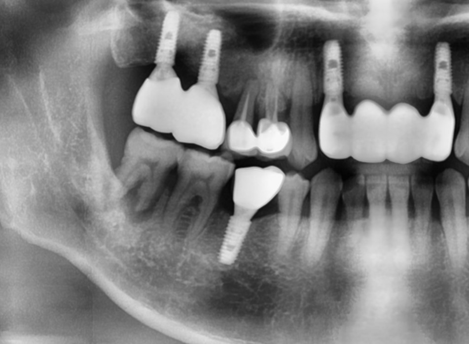
▲Radiograph after impant surgery.
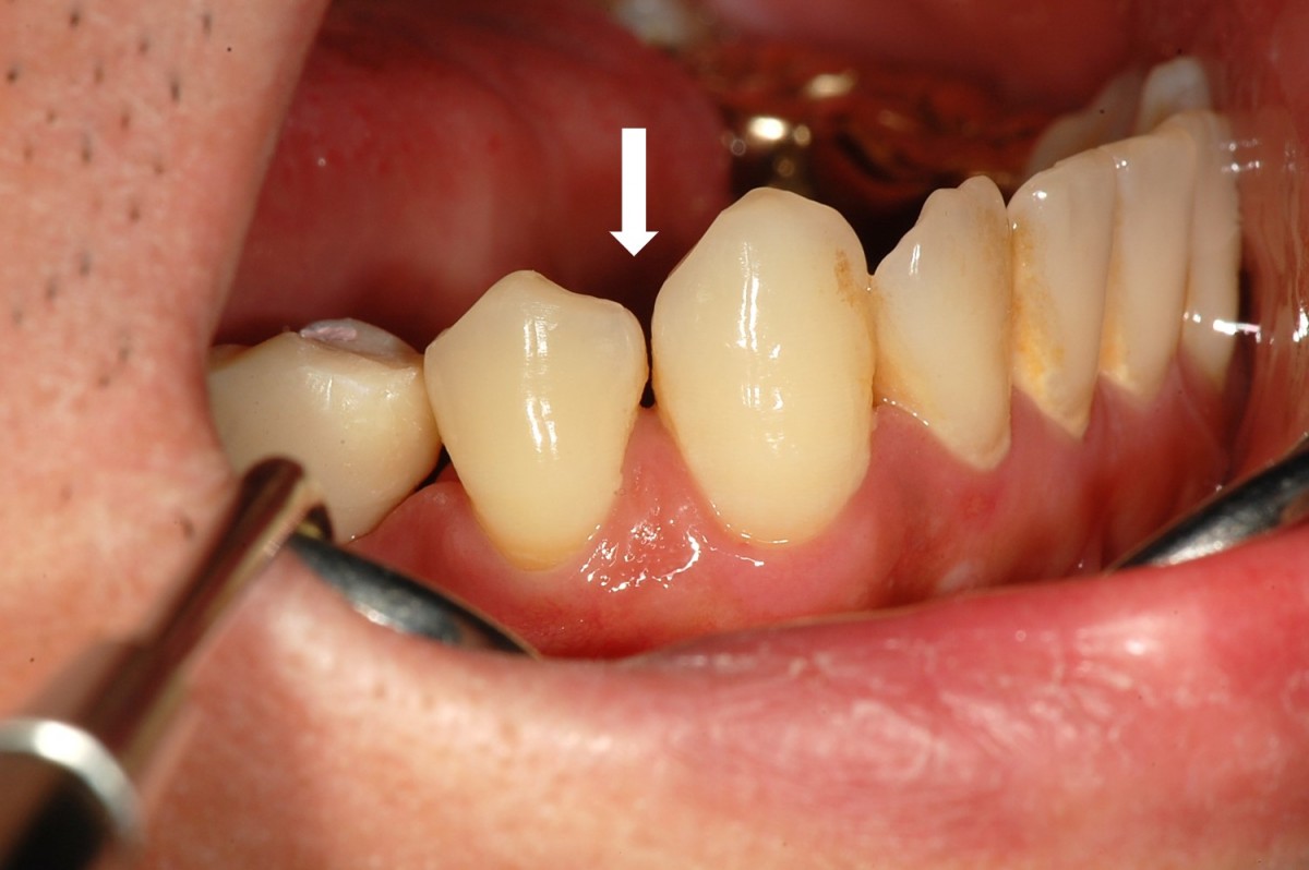
▲8 years after restoration.
0
- PrevOvate pontic - esthetic restoration in the anterior maxilla.Nov, 03, 2024
- NextVideo, Immediate Implant Placement, Flapless ;Premolar Nov, 03, 2024
There are no registered comment.