Dental Restoration
Cosmetic Dentistry
Periodontics
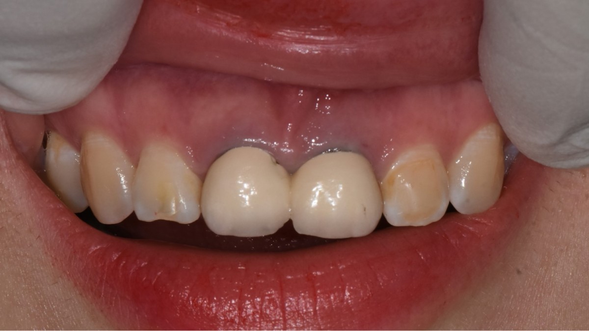
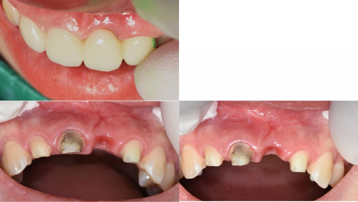
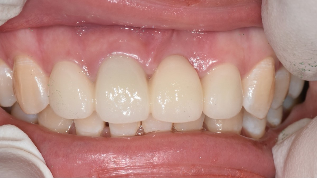
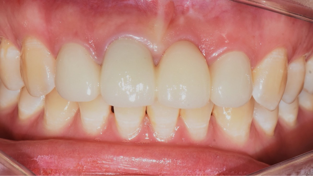
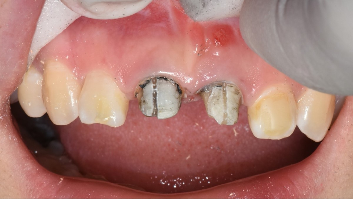
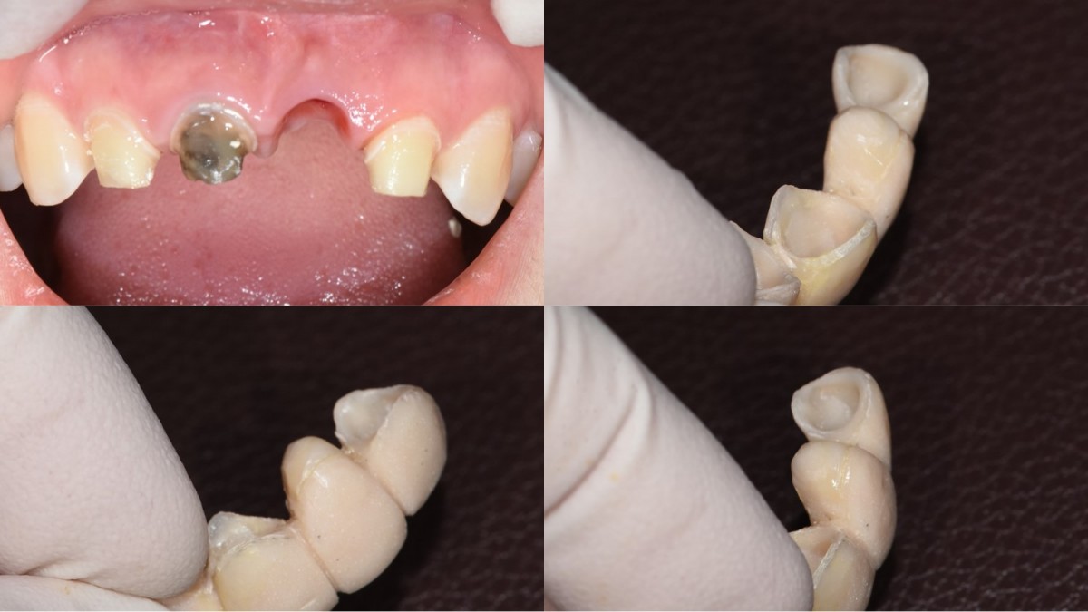
Ovate pontic - esthetic restoration in the anterior maxilla.

HAPPYTOGETHER
Views : 2,317/ Nov, 03, 2024
Views : 2,317/ Nov, 03, 2024
<GC-sjw> female in 20s.
0
- PrevImmediate placement of an implant (Arum Dnetistry NB1, 5*8.5)Nov, 03, 2024
- NextMinor Tooth Movement before implant supported restoration Nov, 03, 2024
There are no registered comment.