Implantology
Dental Restoration
Dental Labrotary
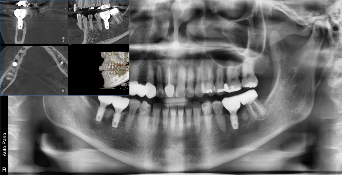
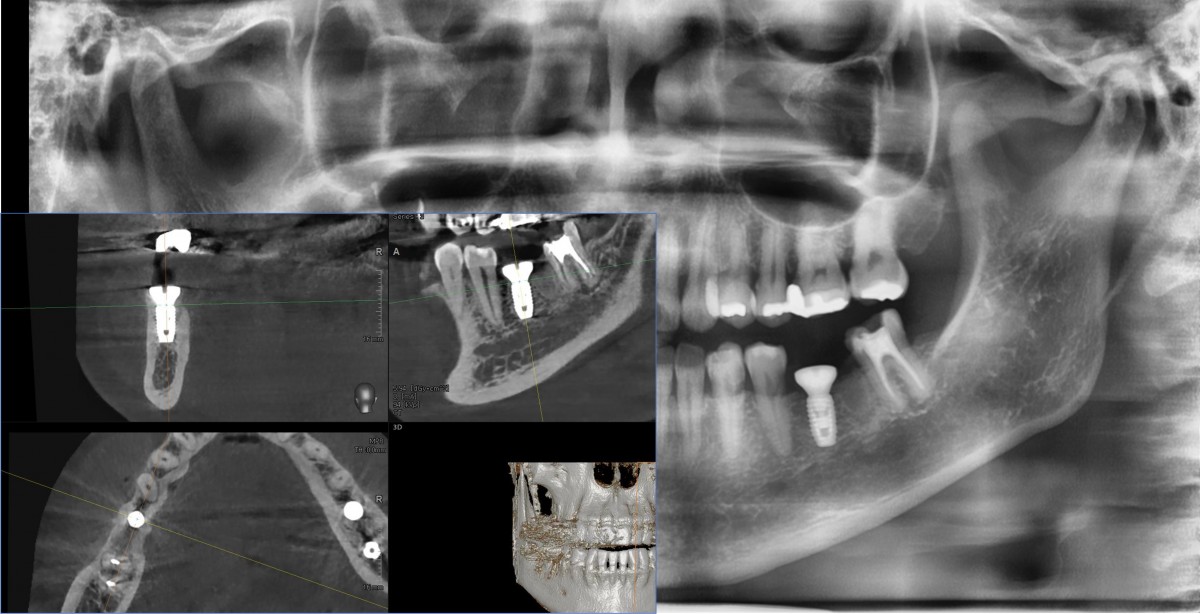
Immediate placement of an implant (Arum Dnetistry NB1, 5*8.5)

HAPPYTOGETHER
Views : 1,804/ Jul, 14, 2025
Views : 1,804/ Jul, 14, 2025
<GC KKS>
Topic
Immediate placement of an implant
Patient information
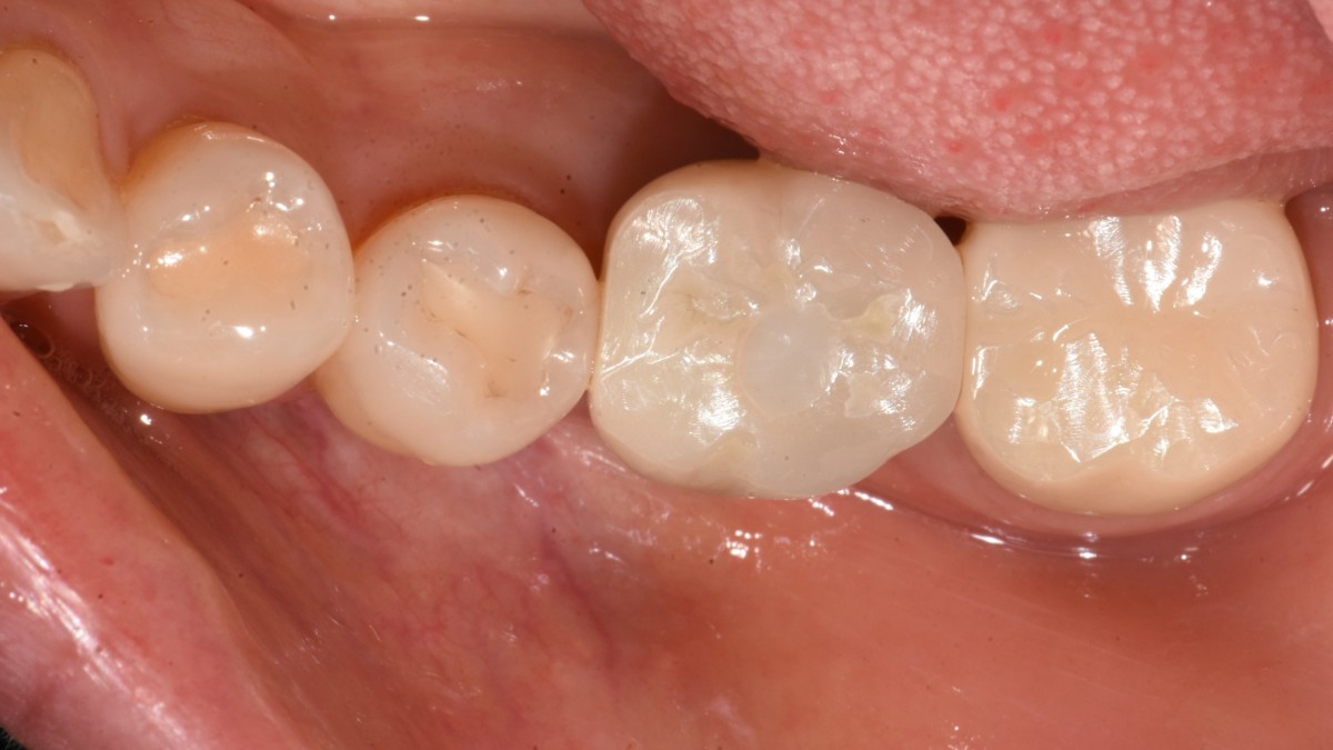
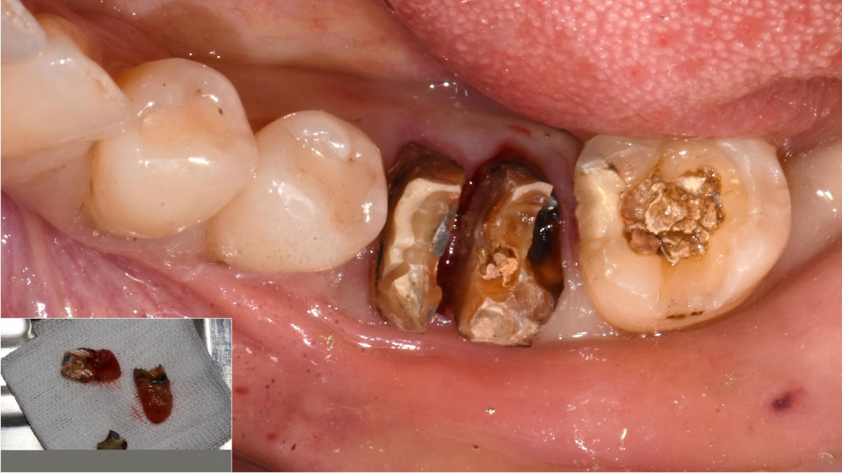
A 51-year-old patient complained of an
old-crowned molar. The lower left molar had a gold crown, and the margin showed discoloration indicative of inner caries. Also, it had furcation-involved periodontitis
with an apical lesion.
Treatment Plan
Extraction and immediate placement of an implant.
▲Arum Dentistry NB1 fixture (5*8.5mm)
0
- PrevSingle implant (staged) Arum NB1, f/uJul, 14, 2025
- NextOvate pontic - esthetic restoration in the anterior maxilla. Jul, 14, 2025
There are no registered comment.